Hôi miệng
1. Hôi miệng là gì
Hôi miệng có thể gặp ở mọi lứa tuổi, từ trẻ em đến người già. Hôi miệng tăng nhẹ theo tuổi, càng lớn tuổi mùi hôi miệng càng tăng. Tỷ lệ hôi miệng nam nhiều hơn nữ, đặc biệt là những người trên 20 tuổi. Hôi miệng không chỉ khiến bạn và người đối diện e ngại khi giao tiếp mà còn là biểu hiện của một số bệnh liên quan.
2. Nguyên nhân chủ yếu của chứng hôi miệng

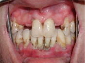
Có rất nhiều nguyên nhân khác nhau gây hôi miệng gồm tại chỗ và toàn thân, nhưng 90% là từ miệng, trong đó phải kể đến tình trạng nhiễm khuẩn tại miệng.
- Nguyên nhân chủ yếu của hơi thở hôi xuất phát từ việc vệ sinh răng miệng kém, dẫn tới thức ăn thừa bám lại trên bề mặt lưỡi, giữa kẽ răng hay túi lợi, sau đó các vi khuẩn có trong miệng sẽ phân hủy những phần thức ăn thừa này tạo ra các chất hóa học có mùi.
- Chế độ ăn uống nhiều mỡ động vật, bánh ngọt cũng là nguyên nhân dẫn đến hôi miệng, vì những chất này rất dễ hình thành vôi răng trong miệng.
- Do thực phẩm: Mùi hôi giống như mùi của thực phẩm đã dùng và chỉ nhất thời xảy ra sau khi ăn uống (hành, tỏi) hay dùng thuốc (thuốc chứa nitrat, cồn, chloralhydrat và iodin). Sự trao đổi chất giữa một số thức ăn và đồ uống nhất định tạo ra các acid béo bay hơi và các chất có mùi hôi khác được bài tiết qua phổi.
- Hút thuốc lá: Người nghiện thuốc lá có mùi hôi miệng thường gặp nhất và dễ nhận biết nhất. Mùi thuốc lá có thể kéo dài trong hơn một ngày sau khi ngừng hút.
- Ngoài ra đối với người bị các bệnh lý như tiểu đường thận yếu, viêm xoang kinh niên, ung thư phổi, viêm cuống họng cũng là nguyên nhân dẫn đến hôi miệng.
- Ngoài ra biến chứng do mọc răng khôn cũng là nguyên nhân gây hôi miệng.
- Khô miệng với các triệu chứng: giảm vị giác, khó nuốt, viêm niêm mạc miệng, dễ sâu răng, nhiều mảng bám trên răng và lưỡi thường gặp ở người trên 50 tuổi, thiếu sinh tố, mãn kinh, tuyến nước bọt kém hoạt động, liệt dây thần kinh mặt (dây VII), cơ thể mất nước, thở bằng miệng, đái tháo đường, trầm cảm, lạm dụng rượu, thiếu hồng cầu, đa xơ cứng, dùng thuốc... cũng gây hôi miệng do làm giảm lưu lượng nước bọt trong miệng. Nước bọt có tác dụng làm sạch thức ăn thừa và làm giảm nguy cơ gây sâu răng, vì vậy những người khô miệng cũng có nguy cơ có hơi thở hôi cao hơn những người bình thường.

· Những loại thuốc có thể gây khô miệng như: thuốc tăng huyết áp, thuốc an thần, thuốc chống trầm cảm, thuốc chống histamines, chữa bệnh Parkinson, thuốc lợi tiểu, amphetamines…
- Nhiễm khuẩn đường hô hấp, do bệnh hệ thống (suy thận, suy gan, người bị bệnh đái tháo đường) cũng có thể bị hôi miệng.
- Ngoài ra, các bệnh lý khác như nhiễm khuẩn mũi, họng, viêm amidal hốc, viêm xoang mạn tính, viêm phế quản mạn tính, viêm phổi hoặc rối loạn hệ tiêu hóa như trào ngược dạ dày thực quản, viêm dạ dày cũng là nguyên nhân gây hơi thở hôi.
- Đối với một số phụ nữ, thay đổi kích thích tố trong thời gian rụng trứng và có kinh nguyệt cũng làm cho hơi thở hôi. Hội chứng hôi mùi cá ươn (Fish odor syndrome) là bệnh tự miễn với rối loạn chuyển hóa chất Trimethylamine, tuy nhiên trường hợp này rất hiếm gặp và chưa có phương pháp điều trị đặc hiệu.
3. Điều trị hôi miệng
- Đối với những người bị lâu thì việc đánh răng thường xuyên cũng không thể giải quyết được, cạo sạch vôi răng là cách nhanh và hiệu quả nhất để điều trị hôi miệng: Cạo vôi răng 6 tháng định kỳ là điều quan trọng đầu tiên để ngăn ngừa hôi miệng, viêm nướu và viêm nha chu.
- Trám răng sâu để tránh đọng thức ăn, bảo vệ tủy răng trước sự xâm lấn của vi khuẩn tránh tình trạng apxe răng có thể gây mất răng.
- Điều trị các bệnh toàn thân về đường tiêu hóa như đau dạ dày, viêm gan, viêm mật….
- Nếu có hàm giả thì phải vệ sinh hàm giả sau mỗi bữa ăn, lấy ra ban đêm, rửa sạch sẽ và ngâm trong nước sạch hoặc dung dịch nước sát trùng dùng riêng cho hàm giả.
- Chăm sóc răng sứ, implant thật kỹ theo hướng dẫn của bác sĩ, vì răng sứ vệ sinh khó hơn bình thường.
- Nhổ răng khôn nếu bạn trên 18 tuổi để ngăn ngừa các biến chứng.
4. Phòng ngừa hôi miệng:

- Luôn vệ sinh răng sau khi ăn.
+ Chải răng: là điều cần thiết để làm sạch răng miệng và phòng ngừa sâu răng. Ngoài ra, bạn nên sử dụng chỉ nha khoa và nước súc miệng để làm sạch hoàn toàn các mảng bám trên răng.
+ Làm sạch lưỡi: Bạn có biết 80% vi khuẩn là nằm trên lưỡi không? Do đó, làm sạch lưỡi làm việc làm cần thiết để loại bỏ vi khuẩn khỏi khoang miệng.
+ Sử dụng chỉ nha khoa, tăm nước: để làm sạch kẽ răng cho sạch thức ăn kẹt ở đó.
- Nước súc miệng nên dùng vào buổi tối là thời gian mà vi khuẩn hoạt động mạnh.
- Bỏ hút thuốc: Chất nicotin có trong thuốc lá sẽ bám quanh và làm răng bị ngả màu. Ngoài ra, thuốc lá cũng làm miệng bị khô do hạn chế tiết nước bọt.
- Tránh trà, cà phê: Bởi vì những loại thức uống chứa chất caffeine có thể làm khô miệng.
- Tránh uống quá nhiều rượu, hút thuốc lá, cigars.
- Giữ miệng ẩm ướt.
Dưỡng ẩm miệng bằng cách uống đầy đủ nước hoặc nhai kẹo cao su để tạo ra nước bọt. Sự tạo thành nước bọt tự nhiên sẽ giữ cho miệng không bị khô để thoát khỏi hơi thở hôi.
- Nhai rau mùi tây
Mùi tây là loại thảo dược có công dụng như chất làm sạch miệng. Vì vậy, nhai rau mùi sau bữa ăn để giữ cho hơi thở được thơm mát.
- Tránh thực phẩm có mùi
Tránh ăn các loại thực phẩm có mùi như tỏi, hành và các loại thức ăn có hương vị nặng mùi mà lưu lại lâu trong miệng.
- Tránh thực phẩm có đường
Đường làm gia tăng vi khuẩn gây bệnh viêm nướu, sâu răng khiến tình trạng hôi miệng ngày càng nặng.
- Khám răng, cạo vôi răng định kỳ
Đã bao lâu bạn chưa đi khám và cạo vôi răng? Nếu bạn muốn răng miệng mình khỏe mạnh thì đừng bao giờ cảm thấy ngại khi đến thăm nha sĩ. Vì vôi răng là tác nhân chính gây hôi miệng.
- Điều trị bênh lý răng miệng sớm
Bạn có thể ngăn ngừa hơi thở có mùi hôi bằng cách giải quyết các dứt điểm vấn đề răng miệng như viêm nha chu, viêm nướu, sâu răng, áp xe răng...
- Không lạm dụng sản phẩm xịt thơm miệng
+ Nước xịt thơm miệng có thành phần chủ yếu là các thảo dược có nguồn gốc thiên nhiên, một số thành phần hay gặp đó là bạc hà, bách lý hương, quế, cam thảo...
Thực tế, nước xịt thơm miệng có tác dụng nhanh trong việc làm giảm mùi hôi ở miệng, được dùng trong trường hợp những người có bệnh lý hôi miệng chưa rõ nguyên nhân hoặc sau khi ăn uống thức ăn có mùi, hút thuốc và cần làm giảm mùi khẩn cấp.Tuy nhiên nó không có tác dụng điều trị nguyên nhân của hôi miệng và tác dụng của nó chỉ kéo dài trong khoảng 4-6 giờ.
Việc sử dụng nước xịt miệng thường xuyên đôi khi gây ra sao nhãng việc vệ sinh răng miệng và sự phụ thuộc vào nước xịt miệng. Các loại xịt hay súc miệng thực chất chỉ là một loại sản phẩm không có tác dụng chữa trị chứng hôi miệng.
Ngoài ra, một số loại xịt thơm miệng có thêm cồn để làm tăng khả năng sát khuẩn miệng, họng. Nếu bạn sử dụng thường xuyên, chính lượng cồn có trong loại nước xịt này sẽ làm cho miệng bị khô, từ đó càng gây cho miệng có mùi hôi nặng hơn, do đó người dùng dễ bị phụ thuộc vào nước xịt miệng.
Số lần xem: 1762




