Phát Hiện Nốt Vôi Hóa Gan Có Đáng Lo Ngại Không?
- 1. Nốt vôi hóa gan là gì?
- 2. Tại sao gan lại xuất hiện các nốt vôi hóa?
- 3. Bảng phân loại mức độ nguy hiểm của nốt vôi hóa gan
- 4. Nốt vôi hóa gan có phải ung thư gan không?
- 5. Các triệu chứng thường gặp khi bị vôi hóa gan
- 6. Lộ trình xử lý khi phát hiện nốt vôi hóa gan
- 7. Nốt vôi hóa gan có cần điều trị không?
- 8. Chế độ sinh hoạt để bảo vệ gan khỏe mạnh
- 9. Câu hỏi thường gặp
- Kết luận
Khi nhận kết quả siêu âm hoặc chụp CT gan với dòng kết luận: “Có nốt vôi hóa trong gan”, cảm giác lo lắng, bất an là điều khó tránh khỏi. Gan vốn là cơ quan quan trọng của của cơ thể, do đó bất kỳ một dấu hiệu bất thường nào cũng khiến chúng ta liên tưởng đến những căn bệnh nan y.
Vậy thực chất nốt vôi hóa gan là gì? Liệu đây có phải là mầm mống của ung thư? Bài viết dưới đây sẽ giúp bạn giải mã bản chất của nốt vôi hóa, mức độ nguy hiểm và lộ trình theo dõi khoa học nhất để tránh hoang mang không cần thiết.
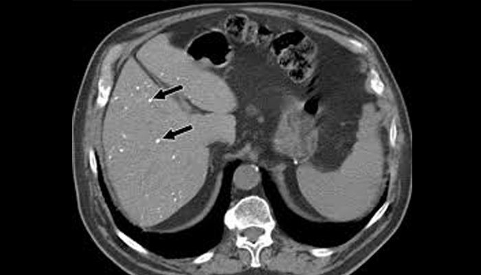
Hình ảnh nốt vôi hóa ở gan trên phim chụp Xquang
1. Nốt vôi hóa gan là gì?
Nốt vôi hóa gan thực chất là hiện tượng canxi lắng đọng bất thường ngay trong nhu mô gan. Trên các phương tiện chẩn đoán hình ảnh, chúng sẽ xuất hiện dưới dạng các đốm tăng âm (siêu âm) hoặc các nốt có đậm độ cao (chụp CT).
Bản chất của nốt vôi hóa:
-
Không phải là khối u: Đây là điểm mấu chốt người bệnh cần lưu ý để giảm bớt áp lực tâm lý.
-
Dấu vết của quá khứ: Về cơ bản, nốt vôi hóa giống như một cái "sẹo vôi". Nó thường là di chứng để lại sau một quá trình viêm nhiễm hoặc tổn thương gan đã từng xảy ra và đã lành từ trước đó.
-
Tính ổn định: Phần lớn các nốt vôi hóa này tồn tại thầm lặng và không chuyển biến thành bệnh lý nguy hiểm.
2. Tại sao gan lại xuất hiện các nốt vôi hóa?
Có rất nhiều nguyên nhân dẫn đến tình trạng lắng đọng canxi trong gan. Hiểu rõ nguyên nhân sẽ giúp bác sĩ có hướng tư vấn chính xác cho bạn:
2.1. Di chứng sau viêm gan và nhiễm trùng
Đây là nguyên nhân phổ biến nhất. Khi gan bị tấn công bởi virus (viêm gan B, C), vi khuẩn hoặc ký sinh trùng (như áp xe gan amip), các vùng mô gan bị tổn thương sẽ trải qua quá trình tự chữa lành. Sau khi khỏi, tại vị trí đó có thể hình thành các mô xơ và dần dần bị vôi hóa.
2.2. Hậu quả của ổ áp xe gan cũ
Những người từng có tiền sử bị áp xe gan hoặc nhiễm trùng gan nặng, dù đã điều trị khỏi hoàn toàn, vẫn thường để lại "dấu tích" là các nốt vôi hóa tại vị trí ổ viêm cũ.
2.3. Sự tấn công của ký sinh trùng
Một số loại ký sinh trùng như sán lá gan hay nang sán (Echinococcus) khi xâm nhập vào gan sẽ gây tổn thương nhu mô. Khi ký sinh trùng chết đi hoặc bị hệ miễn dịch tiêu diệt, cơ thể sẽ bao phủ vùng đó bằng canxi, tạo thành các nốt vôi hóa.
2.4. Sự thoái triển của các khối u lành tính
Một số trường hợp u máu gan hoặc u tuyến gan lành tính khi bị xơ hóa hoặc thoái triển tự nhiên cũng có thể xuất hiện các điểm vôi hóa nhỏ rải rác bên trong.
2.5. Các bệnh lý gan mạn tính
Những người có nền tảng sức khỏe gan yếu như xơ gan, gan nhiễm mỡ lâu năm hoặc viêm gan mạn tính sẽ có nguy cơ xuất hiện các nốt vôi hóa cao hơn do nhu mô gan liên tục bị tổn thương và tái tạo.
Nốt vôi hóa gan là dấu tích của tổn thương gan cũ, thường lành tính và không cần điều trị, nhưng vẫn nên theo dõi định kỳ để đảm bảo an toàn.
3. Bảng phân loại mức độ nguy hiểm của nốt vôi hóa gan
Dưới đây là bảng phân loại mức độ nguy hiểm dựa trên đặc điểm của nốt vôi hóa:
| Đặc điểm nốt vôi hóa | Mức độ nguy hiểm | Hướng xử lý kiến nghị |
| Nốt nhỏ, đơn độc, bờ rõ, ổn định | Thấp (Lành tính) | Theo dõi định kỳ bằng siêu âm mỗi 6-12 tháng. |
| Nhiều nốt, kích thước lớn (>1cm) | Trung bình | Kiểm tra thêm chức năng gan, siêu âm định kỳ 3-6 tháng. |
| Bờ không đều, kèm khối u, AFP tăng | Cao (Cảnh giác ác tính) | Thăm khám chuyên khoa sâu, làm CT/MRI hoặc sinh thiết. |
4. Nốt vôi hóa gan có phải ung thư gan không?
Câu trả lời ngắn gọn là: KHÔNG. Nốt vôi hóa gan đơn thuần không đồng nghĩa với ung thư.
-
Đa số là lành tính: Vôi hóa thường chỉ là bằng chứng của một tổn thương đã "ngủ yên" trong quá khứ.
-
Sự khác biệt về biểu hiện: Ung thư gan (HCC) thường biểu hiện bằng các khối u có tăng sinh mạch máu, tính chất xâm lấn và hiếm khi chỉ xuất hiện đơn thuần dưới dạng một nốt vôi hóa nhỏ.
-
Tuy nhiên không chủ quan: Trong một số ít trường hợp ác tính (như ung thư di căn gan), vôi hóa có thể xuất hiện kèm theo khối u. Do đó, bác sĩ sẽ không bao giờ chỉ dựa vào một nốt vôi hóa đơn lẻ mà sẽ đánh giá tổng thể dựa trên xét nghiệm máu (AFP) và hình ảnh học chuyên sâu.
5. Các triệu chứng thường gặp khi bị vôi hóa gan
Đa số người có nốt vôi hóa gan không hề có triệu chứng rõ rệt và chỉ phát hiện ra khi đi khám sức khỏe định kỳ. Một số ít bệnh nhân có thể cảm thấy:
-
Đau tức nhẹ vùng hạ sườn phải.
-
Đầy bụng, khó tiêu hoặc chán ăn.
Lưu ý: Các triệu chứng này thường do bệnh gan nền (như gan nhiễm mỡ, viêm gan) gây ra chứ không phải do nốt vôi hóa trực tiếp gây nên.
Vôi hóa gan đa phần không gây triệu chứng và không nguy hiểm, nhưng nếu xuất hiện các dấu hiệu bất thường, cần kiểm tra để loại trừ bệnh gan đi kèm.
6. Lộ trình xử lý khi phát hiện nốt vôi hóa gan
Khi nhận kết quả có nốt vôi hóa, bạn hãy thực hiện theo các bước sau của chuyên gia:
-
Bình tĩnh: Nhớ rằng phần lớn trường hợp không nguy hiểm.
-
Làm xét nghiệm bổ sung: Bác sĩ có thể chỉ định kiểm tra men gan (AST, ALT), chỉ số tầm soát ung thư (AFP) hoặc chụp CT/MRI nếu hình ảnh siêu âm chưa rõ ràng.
-
Theo dõi định kỳ: Siêu âm lại sau 3-6 tháng để so sánh kích thước. Nếu nốt vôi hóa ổn định về hình dạng và kích thước, bạn có thể hoàn toàn yên tâm.
7. Nốt vôi hóa gan có cần điều trị không?
Thực tế y khoa cho thấy: Đa số nốt vôi hóa gan không cần điều trị bằng thuốc hay phẫu thuật.
-
Không có thuốc "làm tan" vôi hóa: Các loại thuốc giải độc gan thông thường không thể làm biến mất nốt canxi đã lắng đọng.
-
Tập trung vào nguyên nhân: Việc điều trị chỉ đặt ra khi bạn có bệnh gan nền (viêm gan B, C) hoặc khi nốt vôi hóa có dấu hiệu biến chứng/nghi ngờ ác tính.
8. Chế độ sinh hoạt để bảo vệ gan khỏe mạnh
Dù nốt vôi hóa không gây nguy hiểm trực tiếp, nhưng sự hiện diện của nó cho thấy gan của bạn đã từng bị tổn thương. Hãy bảo vệ lá gan bằng cách:
-
Hạn chế rượu bia: Tránh làm quá tải chức năng giải độc của gan.
-
Dinh dưỡng hợp lý: Giảm dầu mỡ, thức ăn nhanh; tăng cường rau xanh và trái cây.
-
Kiểm soát stress: Stress kéo dài ảnh hưởng gián tiếp đến chức năng gan
-
Không tự ý dùng thuốc và thảo dược: Nhiều thuốc và thảo dược có thể gây độc cho gan
-
Lối sống khoa học: Ngủ đủ giấc trước 23h và uống đủ 2 lít nước mỗi ngày.
-
Tầm soát định kỳ: Đây là cách tốt nhất để kiểm soát tình trạng vôi hóa và các bệnh lý gan khác.
Chế độ sinh hoạt khoa học là nền tảng quan trọng nhất để bảo vệ gan khỏe mạnh
9. Câu hỏi thường gặp
9.1. Nốt vôi hóa gan có tự mất đi không?
Thông thường nốt vôi hóa sẽ tồn tại vĩnh viễn như một vết sẹo và không tự mất đi, nhưng chúng cũng không gây hại nếu giữ nguyên kích thước.
9.2. Nốt vôi hóa gan có di truyền không?
Không. Đây là kết quả của quá trình viêm nhiễm hoặc tổn thương từ tác động bên ngoài, không liên quan đến yếu tố di truyền.
9.3. Khi nào cần đi khám ngay?
Hãy đến chuyên khoa gan mật nếu bạn thấy đau hạ sườn phải dữ dội, vàng da, sụt cân nhanh hoặc mệt mỏi kéo dài không rõ nguyên nhân.
Kết luận
Phát hiện nốt vôi hóa gan trong đa số trường hợp không đáng lo ngại. Nó giống như một "chứng tích" của những tổn thương cũ đã lành. Tuy nhiên, đừng vì thế mà chủ quan. Việc theo dõi định kỳ và duy trì lối sống lành mạnh là chìa khóa để bảo vệ lá gan của bạn luôn khỏe mạnh.
Tại Nhà thuốc Minh Châu, đội ngũ dược sĩ tư vấn của chúng tôi luôn sẵn sàng hỗ trợ giải đáp mọi thắc mắc về sức khỏe gan của bạn. Hãy liên hệ ngay để được tư vấn lộ trình chăm sóc gan khoa học nhất!
Số lần xem: 29








