Sarcoma Mạch Máu Là Gì? Nguyên Nhân, Triệu Chứng Và Cách Điều Trị
Sarcoma mạch máu (Angiosarcoma) là một trong những loại ung thư ác tính hiếm gặp và nguy hiểm nhất của mô mềm. Bệnh phát sinh từ lớp lót nội mô của mạch máu hoặc mạch bạch huyết. Do tính chất phát triển nhanh và khả năng di căn sớm, việc nhận biết các dấu hiệu sớm và hiểu rõ các phương pháp điều trị là yếu tố sống còn đối với bệnh nhân.
Hình ảnh Sarcoma mạch máu
1. Sarcoma mạch máu là gì?
Sarcoma mạch máu là một loại ung thư (sarcoma mô mềm) hình thành trong lớp tế bào lót các mạch máu hoặc mạch bạch huyết. Vì các mạch máu có mặt ở khắp mọi nơi trong cơ thể, loại ung thư này có thể xuất hiện ở bất kỳ vị trí nào, nhưng phổ biến nhất là ở:
-
Da (đặc biệt là da đầu và vùng mặt).
-
Vú.
-
Gan.
-
Tim.
-
Các mô sâu bên trong cơ thể.
Đặc điểm của Sarcoma mạch máu là sự tăng sinh không kiểm soát của các tế bào nội mô bất thường, tạo thành các mạng lưới mạch máu dị dạng, dễ vỡ và có tính xâm lấn cực cao vào các mô lân cận.
2. Nguyên nhân và các yếu tố nguy cơ
Hiện nay, nguyên nhân chính xác gây ra đột biến gene dẫn đến sarcoma mạch máu vẫn chưa được xác định hoàn toàn. Tuy nhiên, các nghiên cứu y khoa đã chỉ ra một số yếu tố nguy cơ chính:
2.1. Tác động của bức xạ (Xạ trị)
Đây là yếu tố nguy cơ phổ biến nhất. Những bệnh nhân từng điều trị xạ trị cho các loại ung thư khác (như ung thư vú) có nguy cơ phát triển sarcoma mạch máu tại vùng da bị chiếu xạ sau khoảng 5 - 10 năm.
2.2. Phù mạch bạch huyết mãn tính
Tình trạng phù tay hoặc chân kéo dài do hệ thống bạch huyết bị tổn thương (thường sau phẫu thuật cắt bỏ hạch bạch huyết) có thể dẫn đến hội chứng Stewart-Treves – một dạng sarcoma mạch máu liên quan đến phù bạch huyết.
2.3. Tiếp xúc với hóa chất độc hại
Các hóa chất như vinyl clorua (dùng trong công nghiệp nhựa), thori dioxide (trước đây dùng làm chất cản quang), hoặc asen có liên quan mật thiết đến việc hình thành sarcoma mạch máu ở gan.
2.4. Yếu tố di truyền
Dù hiếm gặp, nhưng một số hội chứng di truyền như bệnh u sợi thần kinh loại 1 (Neurofibromatosis type 1) hoặc đột biến gene BRCA cũng có thể làm tăng nhẹ nguy cơ mắc bệnh.
Sarcoma mạch máu có thể phát triển do tác động của bức xạ sau xạ trị ung thư.
3. Triệu chứng nhận biết Sarcoma mạch máu
Triệu chứng của bệnh thường không rõ ràng ở giai đoạn đầu và thay đổi tùy theo vị trí khối u:
3.1. Đối với tổn thương trên da
-
Vết đổi màu: Xuất hiện vùng da có màu tím hoặc xanh đậm trông giống như vết bầm tím nhưng không biến mất sau vài tuần.
-
Vết loét: Vết bầm tím có thể phát triển thành nốt sần, lở loét và dễ chảy máu khi va chạm nhẹ.
-
Sưng tấy: Vùng da xung quanh nốt u có thể bị phù nề.
3.2. Đối với các cơ quan nội tạng
Nếu khối u nằm sâu trong cơ thể (như gan, tim, hoặc phổi), triệu chứng thường xuất hiện khi khối u đã lớn chèn ép các cơ quan:
-
Đau nhức dai dẳng tại vị trí có khối u.
-
Mệt mỏi, sụt cân không rõ nguyên nhân.
-
Bụng to nhanh (nếu ở gan).
-
Khó thở hoặc đau ngực (nếu ở tim hoặc phổi).
4. Chẩn đoán Sarcoma mạch máu như thế nào?
Do tính chất hiếm gặp và dễ nhầm lẫn với các vết bầm tím thông thường, chẩn đoán sarcoma mạch máu đòi hỏi các quy trình chuyên sâu:
-
Khám lâm sàng: Bác sĩ kiểm tra các tổn thương da và hỏi về tiền sử xạ trị hoặc tiếp xúc hóa chất.
-
Sinh thiết (Biopsy): Đây là tiêu chuẩn vàng. Một mẫu mô nhỏ được lấy ra để soi dưới kính hiển vi. Các xét nghiệm hóa mô miễn dịch (như CD31, CD34, ERG) sẽ giúp xác nhận nguồn gốc nội mô của tế bào ung thư.
-
Chẩn đoán hình ảnh:
-
Chụp MRI: Để đánh giá mức độ xâm lấn của khối u vào mô mềm và mạch máu xung quanh.
-
Chụp CT hoặc PET-CT: Để kiểm tra xem ung thư đã di căn đến phổi, gan hoặc xương hay chưa.
-
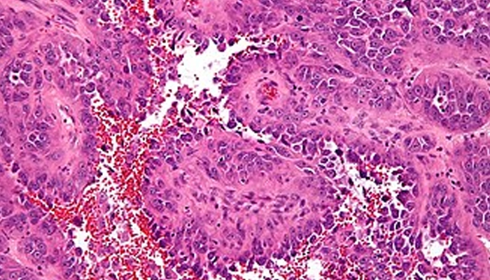
Hình ảnh mô học khối u sarcoma mạch máu dưới kính hiển vi
5. Các phương pháp điều trị hiệu quả
Phác đồ điều trị sarcoma mạch máu phụ thuộc vào kích thước, vị trí và giai đoạn của bệnh.
5.1. Phẫu thuật
Phẫu thuật cắt bỏ rộng khối u là ưu tiên hàng đầu nếu khối u còn ở giai đoạn khu trú. Mục tiêu là lấy toàn bộ khối u cùng với một phần mô khỏe mạnh xung quanh để đảm bảo không còn tế bào ung thư sót lại (diện cắt âm tính).
5.2. Xạ trị
Thường được dùng sau phẫu thuật để tiêu diệt các tế bào ung thư còn sót lại. Đối với sarcoma mạch máu, xạ trị đôi khi được sử dụng như phương pháp chính nếu khối u nằm ở vị trí không thể phẫu thuật.
5.3. Hóa trị
Do sarcoma mạch máu có tính di căn rất cao, hóa trị đóng vai trò quan trọng. Các loại thuốc phổ biến bao gồm:
-
Taxanes (như Paclitaxel): Đặc biệt hiệu quả với sarcoma mạch máu ở da đầu và vùng mặt.
-
Anthracyclines (như Doxorubicin): Thường dùng cho các sarcoma mô mềm nói chung.
5.4. Liệu pháp nhắm trúng đích và Miễn dịch
Đây là hướng đi mới đầy hứa hẹn.
-
Thuốc kháng sinh mạch (Anti-angiogenic): Vì khối u này phát triển từ mạch máu, các thuốc ức chế VEGF (như Pazopanib hoặc Bevacizumab) có thể giúp ngăn chặn nguồn cung cấp máu cho khối u.
-
Liệu pháp miễn dịch: Các chất ức chế điểm kiểm soát miễn dịch (như Pembrolizumab) đang được thử nghiệm và cho thấy kết quả khả quan ở một số bệnh nhân.
Sarcoma mạch máu là bệnh hiếm và ác tính, nên điều trị cần bác sĩ ung thư chuyên khoa.
6. Tiên lượng và theo dõi sau điều trị
Sarcoma mạch máu là một bệnh lý có tiên lượng khá khó khăn do tốc độ phát triển cực nhanh.
-
Tỷ lệ sống sót: Tỷ lệ sống sót sau 5 năm phụ thuộc nhiều vào thời điểm phát hiện. Nếu phát hiện sớm khi khối u còn nhỏ và chưa di căn, cơ hội điều trị thành công sẽ cao hơn đáng kể.
-
Theo dõi tái phát: Bệnh nhân sau điều trị cần được tái khám định kỳ (3-6 tháng/lần) bằng chẩn đoán hình ảnh vì loại ung thư này có tỷ lệ tái phát tại chỗ và di căn phổi rất cao.
7. Chế độ chăm sóc và phòng ngừa
Mặc dù không có cách phòng ngừa tuyệt đối, nhưng bạn có thể giảm thiểu nguy cơ bằng cách:
-
Tránh tiếp xúc với các hóa chất công nghiệp độc hại.
-
Nếu từng xạ trị ung thư vú, hãy thường xuyên kiểm tra các thay đổi trên da ở vùng ngực và cánh tay.
-
Duy trì lối sống lành mạnh, ăn uống đầy đủ dinh dưỡng để tăng cường hệ miễn dịch.
8. Câu hỏi thường gặp
8.1. Sarcoma mạch máu có lây không?
Không, đây là bệnh ung thư, không lây từ người sang người.
8.2. Có cách nào chữa khỏi hoàn toàn không?
Hiện chưa có cách chữa khỏi hoàn toàn; điều trị tập trung vào loại bỏ khối u, kiểm soát lan rộng và nâng cao chất lượng sống.
8.3. Ai có nguy cơ cao bị sarcoma mạch máu?
-
Người từng xạ trị ung thư
-
Tiếp xúc lâu dài với hóa chất độc hại
-
Một số trường hợp có yếu tố di truyền hiếm gặp
Kết luận
Sarcoma mạch máu là một thách thức lớn đối với y học hiện đại. Tuy nhiên, với sự ra đời của các loại thuốc nhắm trúng đích và kỹ thuật phẫu thuật tiên tiến, cơ hội cho bệnh nhân đang dần được cải thiện. Nếu bạn nhận thấy bất kỳ vết bầm tím lạ nào không lành hoặc khối u bất thường trên cơ thể, hãy đi khám tại các chuyên khoa ung bướu ngay lập tức.
Số lần xem: 27


.webp)


