Bệnh Marchiafava-Bignami là gì? Nguyên nhân và cách điều trị
- 1. Marchiafava-Bignami là gì?
- 2. Nguyên nhân gây bệnh Marchiafava-Bignami
- 3. Cơ chế sinh lý bệnh
- 4. Triệu chứng Marchiafava-Bignami
- 5. Phân loại và tiến triển bệnh
- 6. Biến chứng có thể gặp
- 7. Khi nào cần đi khám?
- 8. Phương pháp điều trị Marchiafava-Bignami
- 9. Cách phòng ngừa Marchiafava-Bignami
- 10. Câu hỏi thường gặp
- Kết luận
- Tài liệu tham khảo
Marchiafava-Bignami là một bệnh thoái hóa hiếm gặp của thể chai trong não, thường liên quan đến nghiện rượu kéo dài và thiếu hụt vitamin nhóm B. Bệnh có thể gây rối loạn nhận thức, vận động và ý thức, với mức độ tiến triển từ nhẹ đến nặng tùy theo tổn thương não.
Đây là một bệnh lý thần kinh hiếm, thường gặp ở người có tiền sử lạm dụng rượu và suy dinh dưỡng kéo dài. Ở giai đoạn đầu, triệu chứng có thể không rõ ràng như lú lẫn hoặc thay đổi hành vi. Nếu không được phát hiện sớm, bệnh có thể tiến triển nhanh và gây tổn thương não nghiêm trọng.

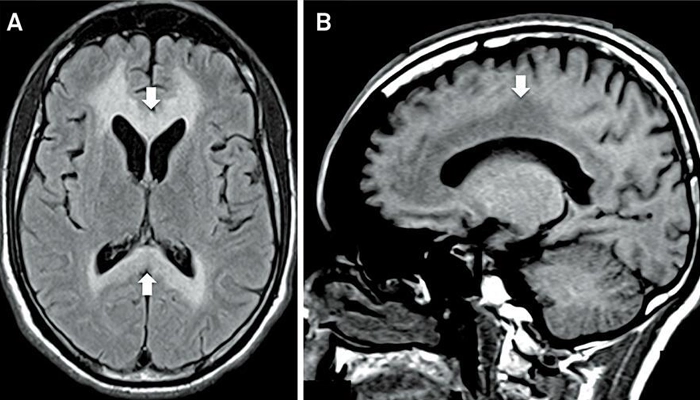
Hình ảnh MRI não trong bệnh Marchiafava-Bignami
1. Marchiafava-Bignami là gì?
Marchiafava-Bignami là tình trạng tổn thương thể chai – cấu trúc kết nối hai bán cầu não, đóng vai trò quan trọng trong việc truyền thông tin giữa hai bên. Khi vùng này bị tổn thương, sự phối hợp giữa hai bán cầu não bị gián đoạn.
Bệnh thường gặp ở người có tiền sử uống rượu kéo dài hoặc suy dinh dưỡng, đặc biệt là thiếu vitamin nhóm B (như vitamin B1). Tuy nhiên, một số trường hợp hiếm vẫn có thể xảy ra ở người không uống rượu nhưng thiếu hụt dinh dưỡng nghiêm trọng.
2. Nguyên nhân gây bệnh Marchiafava-Bignami
Nguyên nhân của bệnh Marchiafava-Bignami liên quan đến rối loạn chuyển hóa và thiếu hụt dinh dưỡng trong não, đặc biệt ở người lạm dụng rượu kéo dài. Tuy nhiên, không phải mọi trường hợp đều có cùng yếu tố khởi phát.
2.1. Nguyên nhân trực tiếp
-
Thiếu vitamin nhóm B kéo dài, đặc biệt là vitamin B1 (thiamine)
-
Tổn thương tế bào thần kinh do rượu
-
Rối loạn chuyển hóa năng lượng trong não
-
Độc tính chuyển hóa liên quan đến rượu
-
Rối loạn dẫn truyền thần kinh
Những yếu tố này làm tổn thương tế bào thần kinh và ảnh hưởng đến chức năng của thể chai.
2.2. Yếu tố nguy cơ
-
Nghiện rượu lâu năm
-
Suy dinh dưỡng mạn tính
-
Chế độ ăn thiếu vitamin nhóm B
-
Bệnh gan liên quan đến rượu
-
Người lớn tuổi
Các yếu tố này làm tăng nguy cơ thiếu hụt dinh dưỡng và thúc đẩy tổn thương não.

Thiếu vitamin B1 và lạm dụng rượu là hai nguyên nhân phổ biến nhất gây ra bệnh Marchiafava-Bignami
3. Cơ chế sinh lý bệnh
Cơ chế bệnh sinh của bệnh Marchiafava-Bignami liên quan đến thiếu hụt dinh dưỡng và rối loạn chuyển hóa trong tế bào thần kinh, đặc biệt ở thể chai – vùng có nhu cầu năng lượng cao và dễ bị tổn thương.
Thiếu vitamin B1 (thiamine) làm gián đoạn quá trình chuyển hóa glucose trong não, dẫn đến giảm sản xuất năng lượng (ATP). Điều này gây rối loạn chức năng tế bào thần kinh, tăng stress oxy hóa và tổn thương cấu trúc chất trắng.
Các cơ chế chính gồm:
-
Thiếu hụt vitamin B1 nghiêm trọng
-
Rối loạn chuyển hóa năng lượng trong não
-
Tổn thương myelin và chất trắng não
-
Hoại tử tế bào thần kinh
-
Mất kết nối giữa hai bán cầu não
Hệ quả là xuất hiện các rối loạn về nhận thức, hành vi và vận động, có thể tiến triển nặng nếu không được điều trị kịp thời.
4. Triệu chứng Marchiafava-Bignami
Triệu chứng của bệnh Marchiafava-Bignami thay đổi tùy theo mức độ tổn thương thể chai và giai đoạn tiến triển.
4.1. Triệu chứng thần kinh
-
Lú lẫn, giảm nhận thức
-
Mất định hướng thời gian và không gian
-
Rối loạn hành vi, thay đổi tính cách
-
Giảm khả năng giao tiếp
-
Rối loạn ý thức (từ lơ mơ đến hôn mê ở giai đoạn nặng)
-
Co giật
Các triệu chứng này thường tiến triển dần và có thể nặng lên nếu không điều trị kịp thời.
4.2. Triệu chứng vận động
-
Yếu hoặc liệt chi
-
Mất phối hợp vận động (ataxia)
-
Dáng đi không vững
-
Khó thực hiện các động tác chính xác
Tổn thương thể chai làm gián đoạn sự phối hợp giữa hai bán cầu não, dẫn đến rối loạn vận động và chức năng.
Nhiều biểu hiện ban đầu của bệnh Marchiafava-Bignami dễ bị nhầm với các rối loạn thần kinh hoặc tâm thần khác.
5. Phân loại và tiến triển bệnh
5.1. Phân loại
Bệnh Marchiafava-Bignami thường được chia thành hai thể chính dựa trên biểu hiện lâm sàng và hình ảnh MRI:
-
Thể A (cấp tính): Khởi phát nhanh với các triệu chứng nặng như rối loạn ý thức, hôn mê, co giật. Hình ảnh MRI cho thấy tổn thương lan tỏa toàn bộ thể chai. Tiên lượng thường nặng.
-
Thể B (bán cấp/mạn tính): Triệu chứng nhẹ hơn, chủ yếu là suy giảm nhận thức, rối loạn hành vi. Tổn thương trên MRI thường khu trú một phần thể chai. Tiên lượng tốt hơn nếu điều trị sớm.
5.2. Tiến triển bệnh
Diễn tiến bệnh có thể thay đổi tùy mức độ tổn thương và thời điểm điều trị:
-
Giai đoạn khởi phát: Xuất hiện các biểu hiện như lú lẫn nhẹ, thay đổi hành vi, giảm tập trung
-
Giai đoạn toàn phát: Triệu chứng thần kinh rõ rệt hơn như rối loạn ý thức, yếu chi, mất phối hợp vận động
-
Giai đoạn di chứng: Có thể để lại sa sút trí tuệ, rối loạn vận động hoặc liệt nếu không được điều trị kịp thời
Bệnh có thể tiến triển nhanh trong thể cấp tính hoặc kéo dài trong thể mạn tính.
6. Biến chứng có thể gặp
Nếu không được điều trị kịp thời, bệnh có thể gây tổn thương não nghiêm trọng. Một số biến chứng có thể kéo dài hoặc không hồi phục hoàn toàn.
-
Suy giảm trí tuệ lâu dài
-
Rối loạn hành vi mạn tính
-
Liệt vận động
-
Co giật tái phát
-
Hôn mê trong trường hợp nặng
Các biến chứng này ảnh hưởng lớn đến chất lượng sống.
7. Khi nào cần đi khám?
Việc phát hiện sớm giúp cải thiện khả năng kiểm soát bệnh. Không nên bỏ qua các dấu hiệu thần kinh bất thường.
Bạn nên đi khám khi:
-
Lú lẫn không rõ nguyên nhân
-
Thay đổi hành vi đột ngột
-
Yếu hoặc mất phối hợp vận động
-
Tiền sử nghiện rượu lâu năm
-
Triệu chứng tiến triển nhanh

Khám chuyên khoa thần kinh giúp xác định chính xác tình trạng.
8. Phương pháp điều trị Marchiafava-Bignami
Điều trị bệnh Marchiafava-Bignami tập trung vào bổ sung dinh dưỡng, đặc biệt là vitamin B1 (thiamine) và kiểm soát các triệu chứng thần kinh. Can thiệp sớm đóng vai trò quan trọng trong việc cải thiện tiên lượng.
8.1. Điều trị bằng thuốc và dinh dưỡng
-
Bổ sung vitamin B1 liều cao (ưu tiên đường tiêm trong giai đoạn cấp)
-
Bổ sung các vitamin nhóm B khác và dinh dưỡng đầy đủ
-
Điều chỉnh rối loạn điện giải
-
Theo dõi và hỗ trợ chức năng gan (đặc biệt ở người nghiện rượu)
Lưu ý: Thiamine nên được bổ sung trước khi truyền glucose để tránh làm nặng thêm tổn thương não.
8.2. Hỗ trợ điều trị
-
Vật lý trị liệu phục hồi chức năng vận động
-
Hỗ trợ tâm lý và nhận thức
-
Cai rượu an toàn và kiểm soát tái nghiện
-
Theo dõi thần kinh lâu dài
Trong các trường hợp nặng, có thể cần:
-
Kiểm soát co giật
-
Hỗ trợ hô hấp và chăm sóc tích cực
Các biện pháp hỗ trợ toàn diện giúp cải thiện khả năng vận động, nhận thức và chất lượng sống.
9. Cách phòng ngừa Marchiafava-Bignami
Phòng bệnh đóng vai trò quan trọng hơn cả đối với những đối tượng có nguy cơ cao mắc hội chứng này.
-
Hạn chế đồ uống cồn: Tuyệt đối không lạm dụng rượu bia để tránh tích tụ độc tố trong hệ thần kinh.
-
Dinh dưỡng cân bằng: Đảm bảo bữa ăn hằng ngày đầy đủ các nhóm chất, đặc biệt là Vitamin nhóm B.
-
Kiểm tra sức khỏe: Định kỳ thăm khám để phát hiện sớm các dấu hiệu suy nhược cơ thể hoặc thiếu máu.
-
Bổ sung thực phẩm bổ não: Tăng cường ngũ cốc nguyên hạt, các loại hạt và rau xanh đậm trong khẩu phần.
-
Cai rượu an toàn: Nếu đang nghiện rượu, hãy tìm kiếm sự hỗ trợ chuyên khoa để cai nghiện một cách khoa học.
-
Giữ tinh thần lạc quan: Một tâm lý ổn định giúp duy trì thói quen sinh hoạt và ăn uống lành mạnh.

Một lối sống lành mạnh sẽ bảo vệ cấu trúc thể chai và duy trì sự kết nối não bộ ổn định.
10. Câu hỏi thường gặp
10.1. Marchiafava-Bignami có nguy hiểm không?
Bệnh có thể nghiêm trọng, đặc biệt ở thể cấp tính, với nguy cơ hôn mê và tổn thương não lan rộng nếu không điều trị kịp thời.
10.2. Bệnh có liên quan đến rượu không?
Phần lớn trường hợp liên quan đến nghiện rượu kéo dài và thiếu hụt vitamin B1, tuy nhiên vẫn có thể gặp ở người suy dinh dưỡng không uống rượu.
10.3. Có thể hồi phục không?
Khả năng hồi phục phụ thuộc vào mức độ tổn thương não và thời điểm điều trị. Phát hiện và bổ sung vitamin B1 sớm giúp cải thiện tiên lượng đáng kể.
10.4. Dấu hiệu “sandwich sign” là gì?
Dấu hiệu “sandwich sign” trên MRI là hình ảnh lớp giữa của thể chai tăng tín hiệu, trong khi hai lớp ngoài được bảo tồn tương đối, tạo hình giống bánh sandwich. Đây là dấu hiệu gợi ý quan trọng trong chẩn đoán bệnh Marchiafava-Bignami.
10.5. Có thể phòng ngừa không?
Có thể giảm nguy cơ bằng cách duy trì chế độ dinh dưỡng đầy đủ, đặc biệt là vitamin nhóm B, và hạn chế sử dụng rượu bia.
10.6. Có cần điều trị lâu dài không?
Nhiều trường hợp cần theo dõi và điều trị dài hạn, bao gồm phục hồi chức năng và kiểm soát các di chứng thần kinh.
Kết luận
Marchiafava-Bignami là bệnh thần kinh hiếm nhưng có thể gây hậu quả nghiêm trọng nếu không xử lý kịp thời. Nhận biết sớm và điều trị đúng giúp cải thiện tiên lượng.
Duy trì dinh dưỡng hợp lý và hạn chế rượu là yếu tố quan trọng trong phòng bệnh.
Khuyến nghị
Marchiafava-Bignami cần được nhận diện sớm, đặc biệt ở người có tiền sử nghiện rượu. Việc bổ sung dinh dưỡng kịp thời đóng vai trò quan trọng trong điều trị.
Người bệnh nên kết hợp điều trị y tế và thay đổi lối sống để cải thiện kết quả. Theo dõi lâu dài giúp hạn chế biến chứng và tái phát.
Tài liệu tham khảo
-
National Institute of Neurological Disorders and Stroke (NINDS)
-
Mayo Clinic – Neurological Disorders
-
Cleveland Clinic – Brain Disorders
Số lần xem: 18


