Động kinh thùy thái dương: Dấu hiệu, nguyên nhân và điều trị
- 1. Động kinh thùy thái dương là gì?
- 2. Cơ chế sinh lý bệnh của động kinh thùy thái dương
- 3. Nguyên nhân gây động kinh thùy thái dương
- 4. Triệu chứng của động kinh thùy thái dương
- 5. Phân loại động kinh thùy thái dương
- 6. Biến chứng của động kinh thùy thái dương
- 7. Khi nào cần đi khám?
- 8. Phương pháp chẩn đoán
- 9. Phương pháp điều trị động kinh thùy thái dương
- 10. Cách phòng ngừa động kinh thùy thái dương
- 11. Câu hỏi thường gặp
- Kết luận
- Tài liệu tham khảo
Động kinh thùy thái dương là dạng động kinh khu trú phổ biến, xuất phát từ vùng thùy thái dương của não – khu vực liên quan đến trí nhớ và cảm xúc. Bệnh có thể gây ra cơn co giật, rối loạn ý thức hoặc cảm giác bất thường, thường diễn ra ngắn nhưng dễ tái phát nhiều lần.
Đáng chú ý, động kinh thùy thái dương thường có biểu hiện không điển hình, như cảm giác lạ thoáng qua hoặc thay đổi hành vi khó giải thích, nên dễ bị bỏ sót hoặc nhầm lẫn với rối loạn tâm lý. Việc nhận biết sớm giúp kiểm soát cơn động kinh và cải thiện chất lượng sống.
Tìm hiểu về động kinh thùy thái dương
1. Động kinh thùy thái dương là gì?
Động kinh thùy thái dương là một loại động kinh khu trú, trong đó các cơn co giật bắt nguồn từ vùng não chịu trách nhiệm về trí nhớ, cảm xúc và xử lý thông tin.
Khác với động kinh toàn thể, dạng này không phải lúc nào cũng gây co giật mạnh. Người bệnh có thể chỉ gặp các biểu hiện tinh tế như thay đổi cảm giác, hành vi hoặc ý thức, khiến bệnh dễ bị nhầm lẫn với các rối loạn tâm thần.
2. Cơ chế sinh lý bệnh của động kinh thùy thái dương
Cơ chế sinh lý bệnh của động kinh thùy thái dương liên quan đến sự phóng điện bất thường của các tế bào thần kinh tại vùng thùy thái dương. Sự mất cân bằng giữa tín hiệu kích thích và ức chế trong não làm tăng khả năng khởi phát và lan truyền cơn động kinh.
Các vùng thường bị ảnh hưởng gồm hồi hải mã và hệ viền, là những khu vực đóng vai trò quan trọng trong kiểm soát cảm xúc và trí nhớ. Khi các vùng này bị tổn thương, tín hiệu thần kinh trở nên rối loạn và dễ lan sang các vùng não khác.
Các cơ chế quan trọng
-
Tăng kích thích neuron bất thường: làm tế bào thần kinh dễ phát xung điện quá mức
-
Giảm ức chế GABA: mất cân bằng giữa kích thích và ức chế thần kinh
-
Tổn thương hồi hải mã: liên quan chặt chẽ đến trí nhớ và khởi phát cơn
-
Xơ hóa thùy thái dương: thay đổi cấu trúc não, làm tăng tính kích thích
-
Rối loạn dẫn truyền thần kinh: ảnh hưởng đến sự truyền tín hiệu giữa các neuron
3. Nguyên nhân gây động kinh thùy thái dương
Nguyên nhân của bệnh có thể đa dạng và không phải lúc nào cũng xác định rõ. Tuy nhiên, nhiều yếu tố đã được ghi nhận có liên quan đến sự khởi phát cơn.
3.1. Nguyên nhân trực tiếp
Các nguyên nhân trực tiếp gây tổn thương não gồm:
-
Xơ cứng hồi hải mã
-
Chấn thương sọ não trước đó
-
U não vùng thái dương
-
Dị dạng mạch máu não
-
Nhiễm trùng thần kinh trung ương
3.2. Yếu tố nguy cơ
Một số yếu tố làm tăng khả năng mắc bệnh:
-
Tiền sử co giật thời thơ ấu
-
Sốt cao co giật kéo dài
-
Thiếu oxy não khi sinh
-
Gia đình có người mắc động kinh
-
Tiếp xúc độc chất thần kinh
Chấn thương sọ não là một nguyên nhân gây động kinh thùy thái dương
4. Triệu chứng của động kinh thùy thái dương
Triệu chứng động kinh thùy thái dương có thể khác nhau giữa các bệnh nhân, nhưng thường liên quan đến cảm giác, ý thức và hành vi. Các dấu hiệu thường được chia thành 3 giai đoạn: trước cơn, trong cơn và sau cơn:
4.1. Triệu chứng báo trước (Aura)
Nhiều người bệnh xuất hiện các dấu hiệu báo trước vài giây đến vài phút trước cơn:
-
Cảm giác sợ hãi đột ngột không rõ nguyên nhân
-
Ngửi thấy mùi lạ dù không có nguồn thực tế
-
Cảm giác déjà vu (đã từng trải qua tình huống hiện tại)
-
Buồn nôn hoặc khó chịu vùng bụng
-
Thay đổi nhận thức thoáng qua, cảm giác “không thật”
4.2. Triệu chứng trong cơn
Cơn động kinh thùy thái dương thường kéo dài ngắn nhưng biểu hiện rõ:
-
Mất ý thức tạm thời hoặc giảm khả năng nhận biết
-
Nhìn chằm chằm vô định, không phản ứng với xung quanh
-
Cử động lặp lại vô thức như nhai, nuốt, xoa tay
-
Nói lắp hoặc không đáp ứng khi được gọi
-
Hành vi tự động bất thường (automatism)
4.3. Triệu chứng sau cơn
Sau cơn, người bệnh thường cần thời gian hồi phục:
-
Mệt mỏi kéo dài, cảm giác kiệt sức
-
Lú lẫn tạm thời, khó tập trung
-
Đau đầu nhẹ hoặc khó chịu
-
Giảm trí nhớ ngắn hạn
-
Buồn ngủ nhiều
Biểu hiện cơn động kinh thùy thái dương với mất ý thức và hành vi tự động
5. Phân loại động kinh thùy thái dương
5.1. Phân loại
Y học hiện đại phân loại các cơn động kinh dựa trên mức độ ảnh hưởng đến ý thức và sự lan truyền của hoạt động điện não.
-
Cơn khu trú không suy giảm nhận thức (cơn cục bộ đơn giản): Người bệnh vẫn tỉnh táo và nhận biết được các cảm giác bất thường.
-
Cơn khu trú suy giảm nhận thức (cơn cục bộ phức tạp): Ý thức bị giảm, người bệnh có thể không nhớ những gì đã xảy ra trong cơn.
-
Cơn toàn thể hóa thứ phát: Cơn bắt đầu từ thùy thái dương rồi lan rộng ra toàn não, gây co giật toàn thân.
5.2. Các giai đoạn của cơn động kinh
-
Giai đoạn tiền triệu (aura): Xuất hiện cảm giác lạ như mùi, vị hoặc lo âu trước cơn.
-
Giai đoạn sau cơn: Người bệnh mệt mỏi, lú lẫn, buồn ngủ sau khi cơn kết thúc.
5.3. Đặc điểm liên quan đến thời điểm xuất hiện
- Cơn về đêm: Các cơn động kinh xảy ra chủ yếu trong khi ngủ, dễ bị bỏ sót nếu không theo dõi.
6. Biến chứng của động kinh thùy thái dương
Nếu không điều trị đúng cách, bệnh có thể gây ra nhiều hậu quả đáng lưu ý.
Các biến chứng thường gặp:
-
Chấn thương do té ngã
-
Suy giảm trí nhớ
-
Rối loạn tâm thần
-
Trầm cảm hoặc lo âu
-
Nguy cơ trạng thái động kinh
7. Khi nào cần đi khám?
Việc đi khám sớm giúp chẩn đoán chính xác và kiểm soát bệnh hiệu quả hơn.
Bạn nên đến cơ sở y tế khi có các dấu hiệu:
-
Xuất hiện cơn co giật đầu tiên
-
Mất ý thức không rõ nguyên nhân
-
Cảm giác lạ lặp lại nhiều lần
-
Hành vi bất thường không kiểm soát
-
Cơn kéo dài hoặc tăng tần suất
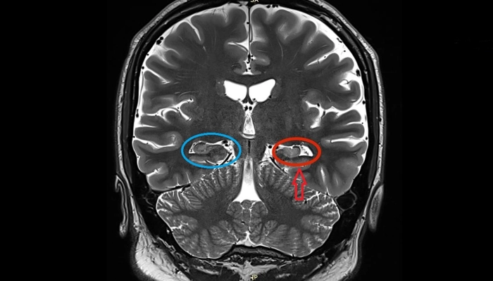
Hình ảnh MRI teo hồi hải mã trong động kinh thùy thái dương
8. Phương pháp chẩn đoán
Chẩn đoán dựa vào khai thác triệu chứng và các xét nghiệm hỗ trợ.
Các phương pháp thường sử dụng:
-
Điện não đồ (EEG)
-
Chụp MRI não
-
Đánh giá lâm sàng chi tiết
-
Theo dõi video EEG
-
Loại trừ nguyên nhân khác
9. Phương pháp điều trị động kinh thùy thái dương
Mục tiêu điều trị là kiểm soát cơn và hạn chế biến chứng:
9.1. Điều trị bằng thuốc
Thuốc chống động kinh là lựa chọn đầu tay trong điều trị:
-
Carbamazepine: giúp kiểm soát hiệu quả cơn động kinh khu trú
-
Lamotrigine: ổn định hoạt động của neuron, giảm tần suất cơn
-
Levetiracetam: giảm kích thích thần kinh, ít tương tác thuốc
-
Valproate: điều hòa dẫn truyền thần kinh, dùng trong nhiều thể động kinh
-
Điều chỉnh liều theo đáp ứng: cần theo dõi và tối ưu liều để đạt hiệu quả tốt nhất
9.2. Điều trị can thiệp
Áp dụng khi bệnh không đáp ứng với thuốc:
-
Phẫu thuật cắt ổ động kinh: loại bỏ vùng não gây cơn
-
Kích thích dây thần kinh phế vị (VNS): giảm tần suất và mức độ cơn
-
Kích thích não sâu (DBS): điều hòa hoạt động điện não
-
Đánh giá trước phẫu thuật: xác định chính xác vùng gây động kinh
-
Theo dõi lâu dài sau can thiệp: đảm bảo hiệu quả và hạn chế biến chứng
9.3. Điều trị hỗ trợ
Các biện pháp hỗ trợ giúp nâng cao hiệu quả điều trị:
-
Ngủ đủ và đúng giờ: giảm nguy cơ khởi phát cơn
-
Tránh stress kéo dài: hạn chế kích thích thần kinh
-
Hạn chế rượu bia: tránh làm nặng thêm bệnh
-
Tuân thủ dùng thuốc: yếu tố quan trọng quyết định hiệu quả điều trị
-
Tập luyện nhẹ nhàng: cải thiện sức khỏe tổng thể
Phác đồ điều trị động kinh thùy thái dương cần cá thể hóa theo từng bệnh nhân.
10. Cách phòng ngừa động kinh thùy thái dương
Phòng ngừa tập trung vào việc bảo vệ não bộ khỏi các tác nhân kích thích cơn co giật.
-
Ngủ đủ giấc: Thiếu ngủ là tác nhân hàng đầu khởi phát các cơn điện não bất thường.
-
Tránh căng thẳng: Các kỹ thuật thư giãn giúp ổn định hoạt động của hệ thần kinh trung ương.
-
Hạn chế kích thích: Tránh ánh sáng nhấp nháy cường độ mạnh hoặc tiếng ồn quá lớn hằng ngày.
-
Dinh dưỡng hợp lý: Bổ sung thực phẩm giàu Magie và Vitamin nhóm B cho tế bào não.
-
Tuân thủ điều trị: Tuyệt đối không tự ý ngưng hoặc thay đổi liều lượng thuốc kháng động kinh.
-
Ghi chép nhật ký cơn: Theo dõi tần suất để giúp bác sĩ điều chỉnh phác đồ chính xác.
11. Câu hỏi thường gặp
11.1. Động kinh thùy thái dương có phải là bệnh tâm thần không?
Không, đây là một bệnh lý thực thể của não bộ liên quan đến rối loạn điện học.
11.2. Phụ nữ mắc bệnh này có thể mang thai an toàn không?
Có thể, nhưng cần sự tham vấn chặt chẽ từ bác sĩ để điều chỉnh liều thuốc.
11.3. Tại sao người bệnh lại hay gặp cảm giác Deja vu?
Do cơn điện não kích thích nhầm vào vùng não lưu trữ ký ức cũ hằng ngày.
11.4. Bệnh có thể tự khỏi khi trưởng thành không?
Một số ít trường hợp thuyên giảm nhưng đa số cần quản lý y khoa lâu dài.
11.5. Có nên kiêng ăn gì khi bị động kinh thùy thái dương?
Nên hạn chế đồ uống có cồn và caffeine vì chúng dễ gây kích thích vỏ não.
11.6. Phẫu thuật não có nguy hiểm lắm không?
Mọi phẫu thuật đều có rủi ro nhưng đây là giải pháp tốt cho bệnh nhân kháng thuốc.
11.7. Làm gì khi thấy người khác lên cơn co giật?
Hãy đặt họ nằm nghiêng, kê gối dưới đầu và không đưa vật cứng vào miệng.
Kết luận
Động kinh thùy thái dương là một rối loạn thần kinh phức tạp nhưng có thể kiểm soát nếu được phát hiện sớm. Việc hiểu rõ triệu chứng và nguyên nhân giúp người bệnh chủ động hơn trong điều trị.
Duy trì lối sống lành mạnh, tuân thủ phác đồ và theo dõi y tế định kỳ là yếu tố quan trọng giúp giảm tần suất cơn và cải thiện chất lượng sống.
Khuyến nghị
Người bệnh cần được theo dõi định kỳ bởi bác sĩ chuyên khoa thần kinh để đánh giá hiệu quả điều trị. Việc tự ý ngưng thuốc có thể làm tăng nguy cơ tái phát cơn.
Gia đình nên hỗ trợ nhận diện sớm cơn động kinh và đảm bảo an toàn cho người bệnh. Môi trường sống ổn định và giảm stress đóng vai trò quan trọng trong kiểm soát bệnh.
Tài liệu tham khảo
-
Epilepsy Foundation
-
Mayo Clinic – Temporal Lobe Epilepsy
-
National Institute of Neurological Disorders and Stroke (NINDS)
Số lần xem: 53





.webp)
