Liệt trên nhân tiến triển: Dấu hiệu, nguyên nhân và điều trị
- 1. Liệt trên nhân tiến triển là gì?
- 2. Nguyên nhân gây liệt trên nhân tiến triển
- 3. Cơ chế sinh lý bệnh
- 4. Triệu chứng liệt trên nhân tiến triển
- 5. Phân loại và giai đoạn bệnh
- 6. Biến chứng có thể gặp
- 7. Khi nào cần đi khám?
- 8. Phương pháp điều trị liệt trên nhân tiến triển
- 9. Cách hỗ trợ phòng ngừa liệt trên nhân tiến triển
- 10. Câu hỏi thường gặp
- Kết luận
- Tài liệu tham khảo
Liệt trên nhân tiến triển (Progressive Supranuclear Palsy – PSP) là một bệnh thoái hóa thần kinh mạn tính hiếm gặp, ảnh hưởng đến khả năng kiểm soát vận động, thăng bằng và cử động mắt. Bệnh tiến triển theo thời gian, gây khó khăn trong đi lại, nuốt và giao tiếp, thường gặp ở người lớn tuổi.
Do có nhiều biểu hiện tương tự Parkinson trong giai đoạn đầu, PSP dễ bị chẩn đoán nhầm. Tuy nhiên, các dấu hiệu như mất thăng bằng sớm, khó điều khiển ánh mắt (đặc biệt là nhìn xuống) là đặc trưng quan trọng giúp nhận diện bệnh. Việc phát hiện sớm giúp giảm nguy cơ biến chứng và cải thiện chất lượng cuộc sống.
Hình ảnh mất thăng bằng và té ngã sớm trong liệt trên nhân tiến triển
1. Liệt trên nhân tiến triển là gì?
Liệt trên nhân tiến triển (PSP) là một rối loạn thần kinh do thoái hóa các tế bào não, ảnh hưởng đến nhiều vùng liên quan đến vận động và kiểm soát mắt.
Điểm đặc trưng của bệnh là giảm khả năng điều khiển cử động mắt theo chiều dọc, đặc biệt là nhìn xuống. Đồng thời, người bệnh thường gặp khó khăn trong việc giữ thăng bằng và dễ té ngã ngay từ giai đoạn sớm.
2. Nguyên nhân gây liệt trên nhân tiến triển
Nguyên nhân chính xác của bệnh chưa được xác định hoàn toàn. Tuy nhiên, nhiều bằng chứng cho thấy PSP thuộc nhóm bệnh lý tauopathy, liên quan đến sự tích tụ bất thường của protein tau trong não.
2.1. Nguyên nhân trực tiếp
-
Tích tụ protein tau bất thường trong tế bào thần kinh
-
Thoái hóa neuron lan tỏa
-
Tổn thương vùng thân não và hạch nền
-
Rối loạn dẫn truyền thần kinh
-
Suy giảm chức năng kiểm soát vận động và thị giác
Các yếu tố này làm gián đoạn hoạt động bình thường của hệ thần kinh trung ương.
2.2. Yếu tố nguy cơ
-
Người trên 60 tuổi
-
Nam giới có nguy cơ cao hơn
-
Tiền sử bệnh thần kinh
-
Yếu tố di truyền hiếm gặp
-
Phơi nhiễm môi trường độc hại
Những yếu tố này làm tăng khả năng phát triển bệnh.
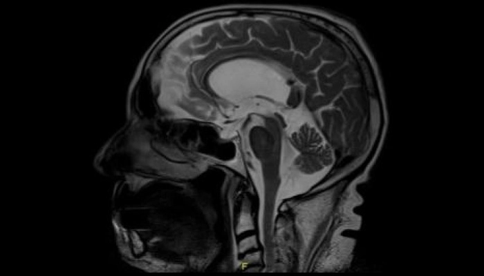
Hình ảnh MRI não với dấu hiệu “chim cánh cụt” (hummingbird sign) trong liệt trên nhân tiến triển
3. Cơ chế sinh lý bệnh
Cơ chế bệnh sinh của PSP liên quan đến sự tích tụ protein tau trong tế bào thần kinh. Điều này làm gián đoạn cấu trúc và chức năng của neuron.
Khi tế bào thần kinh bị tổn thương, các vùng não kiểm soát vận động và mắt hoạt động kém hiệu quả. Sự lan rộng của tổn thương làm bệnh tiến triển theo thời gian.
Các cơ chế chính gồm:
-
Tích tụ protein tau nội bào
-
Thoái hóa neuron lan tỏa
-
Rối loạn kết nối thần kinh
-
Giảm dẫn truyền tín hiệu vận động
-
Tổn thương trung tâm điều khiển mắt
Hệ quả là mất kiểm soát vận động và rối loạn thị giác.
4. Triệu chứng liệt trên nhân tiến triển
Triệu chứng thường xuất hiện từ từ và tiến triển theo thời gian. Nhiều biểu hiện ban đầu dễ nhầm với các bệnh thần kinh khác.
4.1. Triệu chứng vận động
-
Mất thăng bằng khi đi lại
-
Té ngã không rõ nguyên nhân
-
Cứng cơ và chậm vận động
-
Khó xoay người hoặc quay đầu
-
Dáng đi không ổn định
Những triệu chứng này ảnh hưởng rõ đến sinh hoạt hàng ngày.
4.2. Triệu chứng về mắt
-
Khó nhìn xuống (dấu hiệu đặc trưng nhất)
-
Hạn chế nhìn lên
-
Nhìn mờ khi di chuyển mắt
-
Giảm khả năng tập trung ánh nhìn
-
Nháy mắt ít hơn bình thường
Đây là dấu hiệu quan trọng giúp phân biệt PSP với Parkinson.
4.3. Triệu chứng khác
-
Khó nuốt và nói
-
Thay đổi giọng nói
-
Rối loạn hành vi
-
Giảm khả năng tập trung
-
Thay đổi cảm xúc
Các triệu chứng này thường xuất hiện ở giai đoạn muộn hơn.
Hình ảnh rối loạn vận động mắt theo chiều dọc ở bệnh nhân liệt trên nhân tiến triển
5. Phân loại và giai đoạn bệnh
PSP có thể được chia thành các giai đoạn dựa trên mức độ tiến triển. Việc nhận biết giúp theo dõi và điều chỉnh điều trị.
5.1. Giai đoạn sớm
-
Té ngã nhẹ, không thường xuyên
-
Khó nhìn xuống
-
Triệu chứng chưa rõ ràng
Giai đoạn này dễ bị bỏ sót hoặc chẩn đoán nhầm.
5.2. Giai đoạn tiến triển
-
Té ngã nhiều lần
-
Cứng cơ rõ rệt
-
Khó khăn trong vận động
Triệu chứng ảnh hưởng rõ đến sinh hoạt.
5.3. Giai đoạn muộn
-
Mất khả năng đi lại
-
Khó nuốt nghiêm trọng
-
Phụ thuộc chăm sóc
Bệnh ảnh hưởng toàn diện đến chất lượng sống.
6. Biến chứng có thể gặp
Nếu không được quản lý tốt, bệnh có thể gây ra nhiều biến chứng nghiêm trọng:
-
Viêm phổi do sặc: Do rối loạn nuốt, thức ăn đi vào đường hô hấp
-
Chấn thương do té ngã: Gãy xương hoặc chấn thương sọ não
-
Suy dinh dưỡng: Do ăn uống khó khăn kéo dài
-
Lở loét tỳ đè: Ở giai đoạn muộn khi bệnh nhân ít vận động
-
Trầm cảm: Do suy giảm khả năng tự lập
7. Khi nào cần đi khám?
Phát hiện sớm giúp phân biệt PSP với các bệnh khác và hỗ trợ điều trị phù hợp. Không nên bỏ qua các dấu hiệu vận động bất thường.
Bạn nên đi khám khi:
-
Té ngã lặp lại không rõ nguyên nhân
-
Khó điều khiển ánh mắt
-
Cứng cơ và chậm vận động
-
Khó nuốt hoặc nói
-
Triệu chứng tiến triển nhanh

Khám chuyên khoa thần kinh giúp xác định chính xác bệnh.
8. Phương pháp điều trị liệt trên nhân tiến triển
Hiện nay, điều trị liệt trên nhân tiến triển (PSP) chủ yếu nhằm kiểm soát triệu chứng và cải thiện chất lượng cuộc sống, do bệnh có tính chất thoái hóa tiến triển. Phác đồ cần được cá thể hóa cho từng bệnh nhân.
8.1. Điều trị bằng thuốc
-
Thuốc hỗ trợ vận động (Levodopa, Amantadine) giúp cải thiện phần nào triệu chứng
-
Thuốc giảm cứng cơ và rối loạn vận động
-
Thuốc chống trầm cảm hỗ trợ cải thiện tâm lý
-
Theo dõi đáp ứng điều trị định kỳ
-
Điều chỉnh liều phù hợp theo từng giai đoạn bệnh
Thuốc có thể giúp giảm triệu chứng, nhưng không làm chậm tiến triển bệnh.
8.2. Hỗ trợ điều trị
-
Vật lý trị liệu giúp duy trì khả năng vận động
-
Tập luyện cải thiện thăng bằng và phối hợp động tác
-
Liệu pháp ngôn ngữ hỗ trợ nói và nuốt
-
Hỗ trợ dinh dưỡng, đặc biệt khi có khó nuốt
Các biện pháp này giúp duy trì chức năng và hạn chế biến chứng.
8.3. Chăm sóc dài hạn
-
Hỗ trợ đi lại an toàn, sử dụng dụng cụ trợ giúp khi cần
-
Phòng ngừa té ngã do mất thăng bằng
-
Theo dõi chức năng nuốt và hô hấp
-
Hỗ trợ tâm lý cho bệnh nhân và gia đình
Chăm sóc toàn diện đóng vai trò quan trọng trong việc cải thiện chất lượng sống và giảm biến chứng lâu dài.
9. Cách hỗ trợ phòng ngừa liệt trên nhân tiến triển
Do nguyên nhân chưa rõ ràng, hiện chưa có biện pháp phòng ngừa đặc hiệu. Tuy nhiên, một số thói quen lành mạnh có thể hỗ trợ sức khỏe não bộ:
-
Chế độ ăn bổ não: Tăng cường thực phẩm giàu Omega-3, Vitamin E và các chất chống oxy hóa.
-
Tập luyện trí não: Thường xuyên đọc sách, chơi đố chữ để duy trì các kết nối nơ-ron.
-
Vận động nhẹ nhàng: Đi bộ hoặc tập dưỡng sinh giúp duy trì độ dẻo dai của cơ bắp.
-
Tránh độc chất: Hạn chế tiếp xúc với thuốc trừ sâu và các kim loại nặng độc hại.
-
Kiểm tra định kỳ: Theo dõi sức khỏe thần kinh thường xuyên để phát hiện sớm các bất thường.
-
Giữ tinh thần lạc quan: Một trạng thái tâm lý tốt hỗ trợ hệ miễn dịch hoạt động hiệu quả.

Một lối sống khoa học giúp tăng cường khả năng chống chọi của hệ thống thần kinh trung ương.
10. Câu hỏi thường gặp
10.1. Liệt trên nhân tiến triển có di truyền không?
Phần lớn các trường hợp là ngẫu nhiên, yếu tố di truyền chỉ chiếm tỷ lệ rất thấp.
10.2. Bệnh này khác gì với Parkinson?
Người mắc PSP thường té ngã sớm và khó điều khiển ánh mắt, trong khi Parkinson chủ yếu run khi nghỉ và tiến triển chậm hơn.
10.3. Người bệnh có thể sống được bao lâu?
Tiên lượng khác nhau ở mỗi người, thường kéo dài từ 5 đến 10 năm sau khi khởi phát.
10.4. Tại sao người bệnh lại hay bị ngã ngửa ra sau?
Do tổn thương vùng não kiểm soát phản xạ thăng bằng và tư thế đứng của cơ thể.
10.5. Có xét nghiệm nào khẳng định chắc chắn bệnh không?
Chẩn đoán chủ yếu dựa vào lâm sàng và hình ảnh học như MRI để loại trừ bệnh khác.
10.6. Thuốc điều trị Parkinson có tác dụng với PSP không?
Thuốc có thể giúp ích trong thời gian ngắn nhưng hiệu quả thường không rõ rệt như Parkinson.
10.7. Làm sao để giảm nguy cơ sặc khi ăn cho người bệnh?
Nên cho người bệnh ngồi thẳng lưng, cúi nhẹ đầu khi nuốt và sử dụng thức ăn đặc.
Kết luận
Liệt trên nhân tiến triển là bệnh thoái hóa thần kinh phức tạp, ảnh hưởng đến vận động và thị giác. Nhận biết sớm giúp cải thiện khả năng kiểm soát triệu chứng.
Chăm sóc toàn diện và theo dõi lâu dài là yếu tố quan trọng trong quản lý bệnh.
Khuyến nghị
Liệt trên nhân tiến triển cần được chẩn đoán sớm để phân biệt với các bệnh thần kinh khác. Việc theo dõi triệu chứng mắt và vận động rất quan trọng.
Người bệnh nên kết hợp điều trị y tế và phục hồi chức năng để duy trì khả năng vận động. Gia đình đóng vai trò quan trọng trong việc hỗ trợ và chăm sóc lâu dài.
Tài liệu tham khảo
-
National Institute of Neurological Disorders and Stroke (NINDS) – PSP
-
Mayo Clinic – Progressive Supranuclear Palsy
-
NHS UK – Progressive Supranuclear Palsy
Số lần xem: 47




