Viêm Phổi Kẽ Là Gì? Nguyên Nhân, Triệu Chứng Và Cách Điều Trị
Viêm phổi kẽ (Interstitial Pneumonia) là một trong những bệnh lý hô hấp nguy hiểm, diễn tiến âm thầm nhưng có thể để lại hậu quả xơ phổi không hồi phục nếu không được phát hiện và điều trị kịp thời. Không giống các thể viêm phổi điển hình gây ho đờm rầm rộ, Viêm phổi kẽ thường khởi phát kín đáo, dễ bị bỏ sót, đặc biệt ở người lớn tuổi và người có bệnh nền.
Vậy Viêm phổi kẽ là gì, nguyên nhân do đâu, Dấu hiệu viêm phổi kẽ nào cần cảnh giác và phương pháp điều trị đặc hiệu ra sao? Bài viết chuyên sâu này sẽ giúp bạn hiểu rõ bản chất bệnh lý này và tầm quan trọng của việc chẩn đoán sớm.
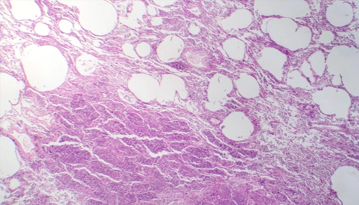
Hình ảnh vi thể của viêm phổi kẽ, cho thấy tình trạng viêm và xơ hóa ở mô kẽ của phổi.
1. Viêm Phổi Kẽ Là Gì? Sự Khác Biệt Căn Bản
1.1. Định Nghĩa và Bản Chất Tổn Thương
Viêm phổi kẽ là tình trạng viêm và tổn thương mô kẽ của phổi – tức là phần mô liên kết nằm giữa các túi khí (phế nang) và mạch máu phổi.
-
Chức năng mô kẽ: Đây là nơi diễn ra quá trình trao đổi oxy và carbon dioxide giữa không khí và máu.
-
Khi bị viêm: Mô kẽ dày lên, xơ cứng, làm giảm khoảng cách và diện tích trao đổi khí. Phổi trở nên kém đàn hồi, từ đó gây khó thở kéo dài và thiếu oxy máu.
1.2. Đặc Điểm Khác Biệt Của Viêm Phổi Kẽ
| Đặc Điểm | Viêm Phổi Kẽ | Viêm Phổi Thùy/Phế Quản |
| Vị trí tổn thương | Mô kẽ, lan tỏa. | Trong phế nang (chứa đầy dịch/mủ), khu trú hoặc rải rác. |
| Triệu chứng chính | Khó thở tăng dần, ho khan kéo dài. | Sốt cao đột ngột, ho đờm vàng/xanh, đau ngực. |
| Tiến triển | Âm thầm, mạn tính, dai dẳng. | Nhanh, cấp tính. |
| Biến chứng lâu dài | Xơ phổi không hồi phục (Xơ phổi vô căn – IPF). | Áp xe phổi, tràn dịch màng phổi. |
2. Nguyên Nhân Gây Viêm Phổi Kẽ: Phức Tạp Và Đa Dạng
Viêm phổi kẽ không chỉ do nhiễm trùng mà còn liên quan mật thiết đến các bệnh lý hệ thống và phơi nhiễm môi trường.
2.1. Nguyên Nhân Nhiễm Trùng (Viêm Phổi Kẽ Cấp)
Các tác nhân nhiễm trùng có thể gây tổn thương mô kẽ, đặc biệt ở người có miễn dịch kém:
-
Virus: Virus cúm, Virus SARS-CoV-2 (COVID-19), Virus hợp bào hô hấp (RSV).
-
Vi khuẩn không điển hình: Mycoplasma pneumoniae, Chlamydia pneumoniae.
2.2. Nguyên Nhân Không Nhiễm Trùng (Viêm Phổi Kẽ Mạn Tính)
Đây là nhóm nguyên nhân phổ biến và nguy hiểm hơn, thường dẫn đến tổn thương kéo dài:
-
Bệnh tự miễn: Viêm khớp dạng thấp, Lupus ban đỏ hệ thống, Xơ cứng bì (Scleroderma). Đây là khi hệ miễn dịch tấn công nhầm mô kẽ phổi.
-
Phản ứng quá mẫn: Phản ứng dị ứng với bụi, nấm mốc, lông động vật (gọi là viêm phổi quá mẫn).
-
Yếu tố nghề nghiệp/môi trường: Hít phải các hóa chất độc hại, bụi kim loại, khói bụi công nghiệp trong thời gian dài.
-
Tác dụng phụ của thuốc: Một số thuốc hóa trị, thuốc điều trị tim mạch (Amiodarone) hoặc thuốc điều trị tự miễn có thể gây độc cho phổi.
2.3. Viêm Phổi Kẽ Vô Căn (IPF)
Khoảng 30% – 40% trường hợp không xác định được nguyên nhân rõ ràng, được gọi là Xơ phổi vô căn (Idiopathic Pulmonary Fibrosis - IPF). Đây là thể bệnh có tiên lượng xấu nhất, tổn thương xơ hóa tiến triển nhanh, thường gặp ở người trên 60 tuổi và người có tiền sử hút thuốc lá.

Virus là tác nhân hàng đầu gây viêm phổi kẽ cấp
3. Dấu Hiệu Viêm Phổi Kẽ Thường Gặp
Dấu hiệu viêm phổi kẽ thường dễ bị bỏ sót vì không rầm rộ như viêm phổi thùy, chủ yếu là các triệu chứng mạn tính liên quan đến thiếu oxy.
3.1. Triệu Chứng Sớm (Tiến Triển Âm Thầm)
-
Khó thở nhẹ khi gắng sức: Ban đầu chỉ cảm thấy khó thở khi leo cầu thang hoặc mang vật nặng. Đây là triệu chứng cơ bản và quan trọng nhất.
-
Ho khan kéo dài: Ho không có đờm, ho dai dẳng, không đáp ứng với thuốc ho thông thường.
-
Mệt mỏi, giảm sức bền: Thiếu oxy kéo dài khiến người bệnh uể oải, chán ăn, sụt cân.
3.2. Triệu Chứng Tiến Triển (Giai Đoạn Muộn)
-
Khó thở tăng dần: Khó thở kể cả khi nghỉ ngơi hoặc nói chuyện.
-
Nghe phổi có tiếng ran nổ "Velcro": Đây là tiếng ran nổ mịn, khô, giống như tiếng xé băng dính Velcro, thường được bác sĩ chuyên khoa hô hấp phát hiện.
-
Ngón tay dùi trống (Clubbing): Đầu ngón tay và móng tay bị bè ra, sưng tấy do thiếu oxy mạn tính kéo dài.
3.3. Dấu Hiệu Cảnh Báo Nguy Hiểm
-
Tím môi, đầu chi (Cyanosis).
-
Tình trạng suy hô hấp cấp (Thở gấp, co kéo lồng ngực).
-
SpO₂ giảm mạnh SpO₂ < 90%.
-
Ho ra máu.
Cần đi khám sớm nếu khó thở tăng nhanh, ho khan kéo dài kèm sốt
4. Chẩn Đoán Viêm Phổi Kẽ và Phác Đồ Điều Trị Đặc Hiệu
Việc chẩn đoán viêm phổi kẽ đòi hỏi hình ảnh chuyên sâu và xét nghiệm toàn diện.
4.1. Tiêu Chuẩn Chẩn Đoán Hình Ảnh
-
CT scan ngực độ phân giải cao (HRCT): Đây là tiêu chuẩn vàng để chẩn đoán. HRCT cho thấy rõ hình ảnh tổn thương mô kẽ:
-
Hình ảnh lưới (Reticular pattern).
-
Hình ảnh tổ ong (Honeycombing): Dấu hiệu xơ phổi không hồi phục (thường gặp trong IPF).
-
-
X-quang phổi: Hình ảnh mờ, lưới lan tỏa, không rõ ràng bằng HRCT.
4.2. Các Xét Nghiệm Hỗ Trợ
-
Đo chức năng hô hấp (Spirometry): Giúp đánh giá dung tích phổi giảm và mức độ hạn chế hô hấp.
-
Đo khí máu động mạch: Đánh giá mức độ thiếu oxy.
-
Xét nghiệm tự miễn: Giúp loại trừ nguyên nhân do Lupus, viêm khớp dạng thấp (tìm kháng thể ANA, RF).
4.3. Cách Điều Trị Viêm Phổi Kẽ
Điều trị phụ thuộc hoàn toàn vào nguyên nhân:
| Nguyên Nhân | Mục Tiêu Điều Trị | Phương Pháp |
| Nhiễm trùng | Kháng khuẩn/kháng virus | Kháng sinh đặc hiệu (Macrolid, Doxycycline) hoặc thuốc kháng virus. |
| Bệnh tự miễn | Ức chế phản ứng viêm/miễn dịch | Corticosteroid (Methylprednisolone) liều cao để giảm viêm; Thuốc ức chế miễn dịch (Azathioprine). |
| Phơi nhiễm | Ngừng tiếp xúc | Loại bỏ dị nguyên (bụi, nấm) khỏi môi trường sống. |
| Vô căn (IPF) | Làm chậm quá trình xơ hóa | Thuốc chống xơ phổi (Antifibrotic): Pirfenidone và Nintedanib. |
Lưu ý: Thuốc chống xơ phổi là tiến bộ y học quan trọng, giúp làm chậm quá trình xơ phổi, nhưng không thể đảo ngược hoàn toàn tổn thương đã có.
4.4. Điều Trị Hỗ Trợ và Phục Hồi
-
Thở oxy dài hạn: Cần thiết khi thiếu oxy nặng, giúp bảo vệ tim và phổi.
-
Phục hồi chức năng hô hấp: Tập luyện dưới sự hướng dẫn giúp tăng cường sức mạnh cơ hô hấp.
-
Tiêm phòng: Tiêm vắc-xin cúm và phế cầu để tránh nhiễm trùng cơ hội làm bệnh nặng hơn.
-
Ghép phổi: Là lựa chọn cuối cùng cho bệnh nhân xơ phổi giai đoạn cuối khi các biện pháp khác thất bại.
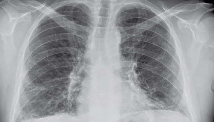
Xquang ngực cho thấy hình ảnh tổn thương kẽ dạng lưới
5. Phòng Ngừa Và Chăm Sóc Người Bệnh
5.1. Biện Pháp Phòng Ngừa
-
Không hút thuốc lá: Hút thuốc là yếu tố nguy cơ hàng đầu gây xơ phổi vô căn (IPF).
-
Bảo hộ lao động: Đeo khẩu trang, mặt nạ phòng độc khi làm việc trong môi trường bụi, hóa chất.
-
Điều trị sớm: Điều trị triệt để các bệnh hô hấp cấp tính và kiểm soát tốt các bệnh tự miễn.
5.2. Chăm Sóc Người Bệnh Viêm Phổi Kẽ Tại Nhà
-
Môi trường sống: Giữ nhà cửa thoáng khí, sạch bụi, loại bỏ nấm mốc, tránh khói thuốc hoàn toàn.
-
Dinh dưỡng và vận động: Ăn uống đủ chất, duy trì vận động nhẹ nhàng theo khả năng.
-
Tuân thủ điều trị: Dùng thuốc chống xơ và thuốc ức chế miễn dịch đúng liều, tái khám định kỳ theo lịch của bác sĩ chuyên khoa hô hấp.
Kết Luận
Viêm phổi kẽ là một bệnh lý nghiêm trọng với tiến triển âm thầm, có thể dẫn đến xơ phổi không hồi phục. Khác biệt với viêm phổi thông thường, Dấu hiệu viêm phổi kẽ là khó thở tăng dần và ho khan kéo dài.
Việc chẩn đoán sớm bằng HRCT và điều trị đặc hiệu bằng thuốc chống xơ hóa là yếu tố quyết định để làm chậm tiến trình bệnh và nâng cao chất lượng sống. Nếu bạn hoặc người thân có dấu hiệu khó thở kéo dài không rõ nguyên nhân, hãy tìm đến bác sĩ chuyên khoa hô hấp ngay để được tư vấn và điều trị kịp thời.
Số lần xem: 105







