Hội Chứng Fahr Là Gì? Nguyên Nhân, Triệu Chứng Và Cách Điều Trị
Hội chứng Fahr (Fahr’s Syndrome) là một rối loạn thần kinh hiếm gặp, đặc trưng bởi sự vôi hóa bất thường trong não, đặc biệt là ở các vùng hạch nền (basal ganglia), đồi thị và tiểu não. Những lắng đọng canxi này ảnh hưởng đến khả năng vận động, trí nhớ, cảm xúc và hành vi của người bệnh.
Mặc dù hội chứng Fahr có thể gặp ở mọi lứa tuổi, nhưng thường được phát hiện ở người trưởng thành hoặc trung niên thông qua chẩn đoán hình ảnh như CT scan não. Bệnh tiến triển chậm, không thể chữa khỏi hoàn toàn nhưng có thể kiểm soát triệu chứng nếu được phát hiện sớm.
Việc hiểu rõ nguyên nhân, dấu hiệu và phương pháp điều trị giúp người bệnh chủ động trong theo dõi, tránh biến chứng nặng và nâng cao chất lượng cuộc sống.

Tìm hiểu hội chứng Fahr
1. Hội chứng Fahr là gì?
Hội chứng Fahr là tình trạng vôi hóa bất thường ở mô não, chủ yếu tại hạch nền – vùng chịu trách nhiệm điều khiển vận động cơ thể. Các vùng khác như vỏ não, đồi thị, tiểu não hoặc chất trắng cũng có thể bị ảnh hưởng.
Các cụm canxi lắng đọng này có thể là bẩm sinh (di truyền) hoặc thứ phát do bệnh lý chuyển hóa, gây cản trở hoạt động bình thường của tế bào thần kinh. Tùy thuộc vào mức độ vôi hóa, người bệnh có thể biểu hiện rối loạn vận động giống Parkinson, thay đổi hành vi, hoặc giảm khả năng nhận thức.
Thuật ngữ “Fahr’s Syndrome” thường được dùng khi vôi hóa não đi kèm rối loạn chuyển hóa hoặc bệnh lý nền khác, còn “Fahr’s Disease” dùng cho trường hợp di truyền đơn thuần không rõ nguyên nhân thứ phát.
2. Nguyên nhân gây hội chứng Fahr
Có hai nhóm nguyên nhân chính dẫn đến hội chứng Fahr:
2.1. Nguyên nhân di truyền (Fahr’s Disease)
-
Do đột biến gen – thường là gen SLC20A2, PDGFB, PDGFRB hoặc XPR1.
-
Các gen này liên quan đến vận chuyển phosphate và canxi trong tế bào, khiến quá trình lắng đọng canxi ở mô não diễn ra bất thường.
-
Bệnh có thể di truyền theo kiểu trội trên nhiễm sắc thể thường, nghĩa là chỉ cần một bản sao gen đột biến cũng đủ gây bệnh.
2.2. Nguyên nhân thứ phát (Fahr’s Syndrome)
-
Rối loạn tuyến cận giáp (hypoparathyroidism): làm giảm canxi máu và tăng phosphate, dẫn đến vôi hóa mô mềm trong não.
-
Nhiễm trùng thần kinh trung ương: viêm não, viêm màng não do virus hoặc vi khuẩn.
-
Rối loạn chuyển hóa: bệnh Wilson, suy thận mạn, nhiễm độc carbon monoxide, ngộ độc chì.
-
Chấn thương sọ não hoặc bệnh tự miễn: có thể làm tăng quá trình viêm và lắng đọng canxi.
Như vậy, hội chứng Fahr có thể xuất hiện tự phát hoặc là hậu quả của bệnh lý nền liên quan đến chuyển hóa canxi – phosphate.

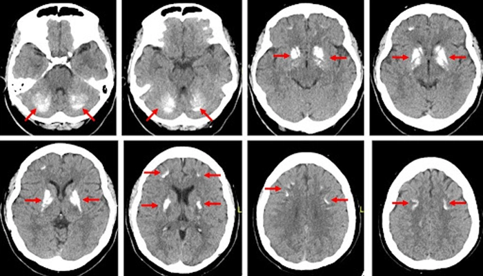
Hội chứng Fahr là tình trạng lắng đọng canxi đối xứng hai bên tại hạch nền, tiểu não và vùng chất trắng dưới vỏ não
3. Triệu chứng của hội chứng Fahr
Triệu chứng của hội chứng Fahr rất đa dạng, tùy thuộc vào vị trí và mức độ vôi hóa trong não. Một số người có thể không biểu hiện rõ ràng trong thời gian dài, trong khi những người khác lại gặp rối loạn thần kinh nghiêm trọng.
3.1. Triệu chứng thần kinh – vận động:
-
Rung tay, cứng cơ, vận động chậm (giống Parkinson).
-
Co giật, run cơ hoặc mất phối hợp động tác.
-
Dáng đi không vững, dễ té ngã.
-
Cử động mắt bất thường, khó nuốt, nói lắp.
3.2. Triệu chứng tâm thần – hành vi:
-
Thay đổi tính cách, dễ kích động, lo âu, trầm cảm.
-
Mất kiểm soát cảm xúc, hành vi bất thường.
-
Suy giảm trí nhớ, khó tập trung, giảm khả năng tư duy.
3.3. Triệu chứng nhận thức và khác:
-
Giảm khả năng ngôn ngữ.
-
Co giật hoặc động kinh tái diễn.
-
Ở giai đoạn nặng: sa sút trí tuệ tiến triển (dementia).

Các triệu chứng thường tiến triển chậm theo thời gian, khiến bệnh dễ bị nhầm với Parkinson, Alzheimer hoặc bệnh tâm thần.
4. Chẩn đoán hội chứng Fahr
Hội chứng Fahr thường được phát hiện tình cờ khi chụp CT hoặc MRI não do lý do khác. Tuy nhiên, để chẩn đoán chính xác, bác sĩ sẽ dựa trên lâm sàng kết hợp xét nghiệm hình ảnh và sinh hóa.
4.1. Chẩn đoán hình ảnh:
-
Chụp CT não: là tiêu chuẩn vàng, giúp nhìn rõ vùng vôi hóa đối xứng ở hạch nền, đồi thị, tiểu não.
-
MRI não: phát hiện tổn thương mô não mềm và đánh giá ảnh hưởng chức năng.
4.2. Xét nghiệm máu:
-
Định lượng canxi, phosphate, magiê và PTH (hormone tuyến cận giáp).
-
Kiểm tra chức năng gan, thận, và men chuyển hóa.
-
Trong trường hợp nghi ngờ di truyền, có thể làm xét nghiệm gen SLC20A2 hoặc PDGFB.
4.3. Phân biệt với các bệnh lý khác:
-
Bệnh Parkinson, Huntington, sa sút trí tuệ mạch máu, hoặc bệnh Wilson có triệu chứng tương tự.
-
Tuy nhiên, chỉ hội chứng Fahr mới có vôi hóa đối xứng đặc trưng trên phim chụp.
5. Điều trị hội chứng Fahr
Hiện nay, chưa có phương pháp điều trị đặc hiệu để loại bỏ các mảng vôi hóa trong não. Mục tiêu chính là kiểm soát triệu chứng, điều trị bệnh nền và cải thiện chất lượng cuộc sống.
5.1. Điều trị nguyên nhân nền:
-
Nếu do thiếu hormone cận giáp (hypoparathyroidism): bổ sung canxi và vitamin D giúp cân bằng nồng độ khoáng chất, ngăn vôi hóa tiến triển.
-
Nếu do rối loạn chuyển hóa hoặc nhiễm độc: điều trị nguyên nhân gốc (ví dụ: giải độc, điều chỉnh điện giải).
5.2. Điều trị triệu chứng thần kinh:
-
Thuốc chống co giật: valproate, levetiracetam, carbamazepine.
-
Thuốc chống Parkinson: levodopa có thể giúp cải thiện cứng cơ, run tay.
-
Thuốc chống trầm cảm hoặc chống loạn thần: dùng trong trường hợp có triệu chứng tâm thần.
5.3. Vật lý trị liệu và hỗ trợ tâm lý:
-
Vật lý trị liệu và phục hồi chức năng giúp duy trì vận động và giảm nguy cơ teo cơ.
-
Trị liệu tâm lý, ngôn ngữ và nhận thức giúp bệnh nhân cải thiện khả năng giao tiếp và hòa nhập xã hội.
-
Chế độ dinh dưỡng lành mạnh, giàu magie, canxi, vitamin D và omega-3 giúp hỗ trợ chức năng thần kinh.
5.4. Theo dõi định kỳ:
Người bệnh cần được tái khám mỗi 3–6 tháng, kiểm tra nồng độ canxi, phosphate và chụp lại CT nếu triệu chứng thay đổi.

Mục tiêu điều trị chủ yếu là kiểm soát triệu chứng, điều chỉnh rối loạn chuyển hóa liên quan, và cải thiện chất lượng cuộc sống cho người bệnh.
6. Biến chứng của hội chứng Fahr
Nếu không được theo dõi và kiểm soát tốt, hội chứng Fahr có thể dẫn đến:
-
Sa sút trí tuệ tiến triển.
-
Mất khả năng vận động hoặc ngôn ngữ.
-
Động kinh mạn tính, co giật liên tục.
-
Trầm cảm nặng, rối loạn cảm xúc.
-
Trong trường hợp hiếm, tử vong do biến chứng thần kinh nặng.
7. Tiên lượng và phòng ngừa
Tiên lượng của hội chứng Fahr phụ thuộc vào nguyên nhân nền và mức độ tổn thương não.
-
Nếu bệnh do rối loạn tuyến cận giáp, việc điều chỉnh hormone và canxi có thể giúp ổn định lâu dài.
-
Nếu di truyền, bệnh thường tiến triển chậm nhưng không thể đảo ngược.
Biện pháp phòng ngừa:
-
Khám sức khỏe định kỳ, đặc biệt nếu có bệnh nội tiết hoặc chuyển hóa.
-
Duy trì chế độ ăn cân bằng khoáng chất, tránh thiếu canxi hoặc vitamin D.
-
Không tự ý dùng thuốc, đặc biệt các thuốc ảnh hưởng đến chuyển hóa khoáng chất.
-
Nếu trong gia đình có người mắc hội chứng Fahr, nên xét nghiệm di truyền sớm để tầm soát.

Hội chứng Fahr không gây tử vong trực tiếp, nhưng ảnh hưởng nhiều đến chất lượng cuộc sống, đòi hỏi điều trị triệu chứng và theo dõi suốt đời.
8. Khi nào cần gặp bác sĩ?
Bạn nên đến khám chuyên khoa thần kinh nếu gặp các biểu hiện sau:
-
Run tay, vận động chậm, mất thăng bằng.
-
Hay quên, giảm tập trung hoặc thay đổi tính cách bất thường.
-
Co giật, co cứng cơ, hoặc hành vi bất thường kéo dài.
Phát hiện sớm và điều trị kịp thời có thể giúp kiểm soát triệu chứng và làm chậm tiến triển bệnh.
Kết luận
Hội chứng Fahr là một rối loạn hiếm gặp, gây vôi hóa bất thường trong não và ảnh hưởng nghiêm trọng đến vận động, nhận thức và tâm lý. Dù không thể chữa khỏi hoàn toàn, nhưng việc chẩn đoán sớm, kiểm soát bệnh nền và tuân thủ điều trị sẽ giúp người bệnh sống khỏe, độc lập và hạn chế biến chứng.
Việc nâng cao nhận thức về hội chứng Fahr là vô cùng quan trọng, không chỉ cho người bệnh mà còn cho cộng đồng y tế, giúp phát hiện sớm và chăm sóc hiệu quả hơn trong tương lai.
Số lần xem: 246




