U nang màng nhện: Dấu hiệu, nguyên nhân và điều trị hiệu quả
- 1. U nang màng nhện là gì?
- 2. Cơ chế sinh lý bệnh và sự tiến triển
- 3. Nguyên nhân trực tiếp gây u nang màng nhện
- 4. Các yếu tố nguy cơ làm tăng khả năng mắc bệnh
- 5. Triệu chứng của u nang màng nhện
- 6. Phân loại u nang màng nhện
- 7. Biến chứng tiềm ẩn nếu không theo dõi
- 8. Khi nào người bệnh cần đi khám chuyên khoa?
- 9. Phương pháp chẩn đoán và hướng điều trị
- 10. Cách phòng ngừa và sống chung với bệnh
- 11. Câu hỏi thường gặp
- Kết luận
U nang màng nhện (Arachnoid cyst) là những túi chứa dịch não tủy hình thành trong lớp màng nhện – một trong ba lớp màng bao bọc não và tủy sống. Các nang này thường có tính chất bẩm sinh, vách mỏng và chứa dịch trong suốt có thành phần tương tự dịch não tủy bình thường.
U nang màng nhện thường được phát hiện tình cờ qua các phương pháp chẩn đoán hình ảnh như CT hoặc MRI, và có thể khiến người bệnh lo lắng dù đa số trường hợp là lành tính. Tuy nhiên, do nằm trong không gian nội sọ kín, sự tồn tại hoặc phát triển của nang vẫn cần được theo dõi định kỳ để tránh nguy cơ chèn ép cấu trúc não. Hiểu rõ bản chất bệnh lý giúp người bệnh tiếp cận vấn đề một cách khoa học và giảm bớt lo lắng không cần thiết.
Tìm hiểu về u nang màng nhện
1. U nang màng nhện là gì?
U nang màng nhện là tình trạng hình thành một khoang chứa dịch não tủy bất thường trong hệ thống màng não. Màng nhện có cấu trúc dạng lưới, đóng vai trò bao bọc và hỗ trợ lưu thông dịch não tủy xung quanh não và tủy sống. Khi cấu trúc này bị tách lớp hoặc rách, dịch não tủy có thể tích tụ lại và tạo thành túi nang theo thời gian.
Phần lớn các u nang màng nhện có kích thước ổn định, không xâm lấn mô não xung quanh như các khối u ác tính. Tuy nhiên, do hộp sọ là một khoang kín, khi nang phát triển lớn dần có thể gây tăng áp lực nội sọ hoặc chèn ép mô não lân cận. Điều này lý giải vì sao một số trường hợp có thể xuất hiện triệu chứng thần kinh rõ rệt dù bản chất nang là lành tính.
2. Cơ chế sinh lý bệnh và sự tiến triển
Cơ chế hình thành u nang màng nhện chủ yếu bắt nguồn từ bất thường trong quá trình phát triển và phân tách của màng não ở giai đoạn phôi thai. Khi cấu trúc màng nhện bị tách đôi hoặc hình thành khe bất thường, dịch não tủy có thể bị “kẹt” lại trong khoang này do cơ chế dòng chảy một chiều hoặc do sự tiết dịch từ thành nang. Theo thời gian, lượng dịch tích tụ có thể làm tăng áp lực bên trong nang, đôi khi tương đương hoặc cao hơn áp lực nội sọ bình thường.
Quá trình tiến triển của u nang màng nhện thường diễn ra rất chậm và ổn định trong nhiều năm, thậm chí nhiều trường hợp không thay đổi kích thước suốt đời. Tuy nhiên, một số nang có thể tăng kích thước do cơ chế thẩm thấu dịch hoặc hiếm gặp hơn là chảy máu vi thể trong thành nang sau chấn thương. Khi kích thước đủ lớn, khối nang có thể gây chèn ép nhu mô não hoặc cản trở lưu thông dịch não tủy, từ đó dẫn đến các triệu chứng thần kinh tùy vị trí và mức độ ảnh hưởng.
3. Nguyên nhân trực tiếp gây u nang màng nhện
Việc xác định nguyên nhân giúp các chuyên gia phân loại nang thành dạng nguyên phát hoặc thứ phát để có hướng theo dõi phù hợp. Dưới đây là các tác nhân chính dẫn đến sự hình thành của khối nang này.
-
Bất thường bẩm sinh: Sự phân tách không hoàn thiện của màng nhện trong quá trình phát triển thai nhi.
-
Chấn thương vùng đầu: Các tác động mạnh gây rách màng nhện, tạo điều kiện cho dịch tích tụ.
-
Viêm màng não: Phản ứng viêm gây dính hoặc tạo vách ngăn bất thường trong khoang dưới nhện.
-
Biến chứng sau phẫu thuật: Các can thiệp ngoại khoa thần kinh có thể vô tình tạo ra các khoang dịch.
-
Xuất huyết nội sọ: Máu tụ cũ tiêu đi có thể để lại khoảng trống chứa dịch màng nhện.

Nhìn chung, u nang màng nhện phần lớn là dị tật bẩm sinh, tiến triển chậm và ít liên quan đến yếu tố môi trường hay lối sống.
4. Các yếu tố nguy cơ làm tăng khả năng mắc bệnh
Dù nguyên nhân chủ yếu là bẩm sinh, một số yếu tố rủi ro có thể khiến khối nang biểu hiện triệu chứng hoặc tiến triển phức tạp hơn. Nhận biết các yếu tố này giúp người bệnh chủ động trong việc bảo vệ vùng đầu.
-
Giới tính nam: Các nghiên cứu cho thấy nam giới có tỷ lệ mắc u nang màng nhện cao hơn nữ giới.
-
Tiền sử chấn thương: Những người thường xuyên va đập vùng đầu dễ bị xuất huyết trong nang.
-
Vị trí giải phẫu: Nang ở vùng hố thái dương thường có xu hướng dễ gây triệu chứng hơn các vùng khác.
-
Rối loạn di truyền: Một số hội chứng hiếm gặp liên quan đến mô liên kết có thể đi kèm với u nang.
-
Trẻ em và thanh thiếu niên: Đây là nhóm tuổi thường phát hiện bệnh do não bộ đang trong giai đoạn phát triển.
-
Vận động viên thể thao: Những môn đối kháng làm tăng rủi ro vỡ nang hoặc chảy máu trong nang.
5. Triệu chứng của u nang màng nhện
U nang màng nhện đa số tiến triển âm thầm và không gây triệu chứng rõ rệt, đặc biệt khi kích thước nhỏ. Nhiều trường hợp được phát hiện tình cờ qua chụp CT hoặc MRI não. Tuy nhiên, khi nang phát triển lớn hoặc gây chèn ép cấu trúc thần kinh, người bệnh có thể xuất hiện các biểu hiện sau:
-
Đau đầu kéo dài hoặc tái diễn: Thường tăng dần theo thời gian, đôi khi nặng hơn khi thay đổi tư thế hoặc vận động mạnh.
-
Chóng mặt, rối loạn thăng bằng: Người bệnh có cảm giác loạng choạng, đi không vững, dễ mất thăng bằng khi di chuyển.
-
Co giật: Có thể xuất hiện ở một số trường hợp, đặc biệt khi nang nằm gần vùng vỏ não.
-
Rối loạn thị giác hoặc thính giác: Nhìn mờ, nhìn đôi, giảm thính lực hoặc ù tai tùy vị trí nang chèn ép.
-
Triệu chứng thần kinh khu trú: Yếu hoặc tê một bên cơ thể, rối loạn vận động hoặc cảm giác nếu nang ảnh hưởng đến vùng chức năng tương ứng.
-
Dấu hiệu tăng áp lực nội sọ (trường hợp nặng): Buồn nôn, nôn vọt, đau đầu dữ dội, nhìn mờ và giảm ý thức.

Mức độ triệu chứng u nang mang nhện phụ thuộc nhiều vào vị trí, kích thước và mức độ chèn ép của nang lên mô não xung quanh.
6. Phân loại u nang màng nhện
Trong y khoa, các chuyên gia thường phân loại dựa trên vị trí giải phẫu hoặc tính chất hình thành của túi nang. Việc phân loại chính xác hỗ trợ rất nhiều cho bác sĩ trong việc tiên lượng sự phát triển của khối nang.
-
U nang nguyên phát: Hình thành từ lúc sinh ra do lỗi phát triển phôi thai (loại phổ biến nhất).
-
U nang thứ phát: Xuất hiện sau các biến cố như chấn thương, nhiễm trùng hoặc phẫu thuật não.
-
Phân loại theo Galassi: Thường dùng cho nang vùng thái dương (Loại I nhỏ, Loại II trung bình, Loại III lớn).
-
Nang trên yên: Vị trí nhạy cảm ảnh hưởng đến hệ nội tiết và thị giác của người bệnh.
-
Nang hố sau: Nằm gần tiểu não, dễ gây rối loạn thăng bằng và lưu thông dịch não tủy.
7. Biến chứng tiềm ẩn nếu không theo dõi
Mặc dù đa số u nang màng nhện là tĩnh, nhưng một số trường hợp có thể gây ra những tình trạng khẩn cấp.
-
Vỡ nang: Chấn thương đầu làm rách vách nang, khiến dịch não tủy tràn ra khoang dưới nhện đột ngột.
-
Xuất huyết trong nang: Các mạch máu nhỏ trên vách nang bị vỡ gây tụ máu bên trong túi nang.
-
Não úng thủy: Khối nang chặn đường thoát của dịch não tủy, gây tích tụ dịch trong các não thất.
-
Tăng áp lực nội sọ: Nang quá lớn chèn ép nhu mô não gây phù não và đe dọa tính mạng.
-
Thoát vị não: Biến chứng nặng nhất khi áp lực quá cao đẩy mô não lệch khỏi vị trí tự nhiên.
Việc không thăm khám định kỳ có thể khiến người bệnh đối mặt với các rủi ro bất ngờ.
8. Khi nào người bệnh cần đi khám chuyên khoa?
Nếu bạn đã biết mình có u nang màng nhện, việc theo dõi định kỳ theo lịch hẹn của bác sĩ là bắt buộc. Ngoài ra, hãy đến bệnh viện ngay lập tức nếu xuất hiện các dấu hiệu thay đổi đột ngột sau:
-
Đau đầu dữ dội: Cơn đau bùng phát mạnh, kèm theo nôn vọt không liên quan đến ăn uống.
-
Co giật lần đầu: Xuất hiện cơn giật tay chân hoặc mất ý thức dù trước đó chưa từng bị.
-
Thay đổi tri giác: Người bệnh lờ đờ, ngủ gà hoặc khó đánh thức sau một va chạm nhẹ.
-
Yếu liệt đột ngột: Cảm thấy tê bì hoặc không thể nhấc tay, chân ở một bên cơ thể.
-
Rối loạn thị giác: Nhìn một thành hai hoặc mất thị lực một phần một cách nhanh chóng.
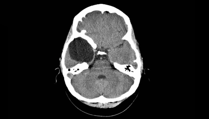
9. Phương pháp chẩn đoán và hướng điều trị
Chẩn đoán u nang màng nhện hiện nay chủ yếu dựa vào các kỹ thuật hình ảnh học tiên tiến nhất. Sau khi có kết quả, bác sĩ sẽ cân nhắc giữa việc theo dõi bảo tồn hay can thiệp ngoại khoa.
9.1. Phương pháp chẩn đoán
Chẩn đoán u nang màng nhện chủ yếu dựa vào hình ảnh học kết hợp đánh giá lâm sàng nhằm xác định vị trí, kích thước và mức độ chèn ép:
-
Khám lâm sàng thần kinh: Đánh giá các triệu chứng như đau đầu, chóng mặt, co giật, rối loạn thị giác hoặc dấu hiệu tăng áp lực nội sọ.
-
Chụp cộng hưởng từ (MRI não): Là phương pháp tiêu chuẩn vàng giúp xác định rõ ranh giới, vị trí và đặc điểm của nang, đồng thời phân biệt với các khối u khác.
-
Chụp cắt lớp vi tính (CT scan): Giúp phát hiện nhanh u nang, đặc biệt hữu ích trong cấp cứu hoặc khi không thể thực hiện MRI.
-
Theo dõi định kỳ: Với các nang nhỏ, không triệu chứng, bác sĩ có thể chỉ định theo dõi bằng hình ảnh định kỳ để đánh giá sự thay đổi kích thước.
9.2. Hướng điều trị u nang màng nhện
Điều trị phụ thuộc vào triệu chứng, kích thước và mức độ ảnh hưởng của nang:
- Theo dõi không can thiệp: Áp dụng cho các trường hợp u nang nhỏ, không gây triệu chứng hoặc không chèn ép não. Người bệnh cần tái khám định kỳ.
- Điều trị nội khoa hỗ trợ:
- Giảm đau đầu
- Kiểm soát co giật nếu có
- Điều trị triệu chứng tăng áp lực nội sọ (nếu xuất hiện)
- Điều trị phẫu thuật (khi cần thiết):
- Mở thông nang (fenestration): Tạo đường thông giữa nang và khoang dịch não tủy để dẫn lưu dịch
- Dẫn lưu nang (shunt): Đặt ống dẫn lưu từ nang sang ổ khác trong cơ thể (như ổ bụng)
- Chỉ định khi nang lớn, gây triệu chứng rõ hoặc có biến chứng thần kinh
Nhìn chung, phần lớn u nang màng nhện là lành tính và không cần can thiệp phẫu thuật nếu không gây ảnh hưởng chức năng thần kinh.
Bác sĩ sẽ lựa chọn phương pháp điều trị phù hợp nhất với tình trạng của bạn
10. Cách phòng ngừa và sống chung với bệnh
Vì phần lớn u nang là bẩm sinh nên không có biện pháp phòng ngừa tuyệt đối sự hình thành của chúng. Tuy nhiên, người bệnh có thể thực hiện các biện pháp để hạn chế rủi ro biến chứng từ khối nang hiện có.
-
Bảo vệ vùng đầu: Tránh các môn thể thao đối kháng mạnh như boxing, bóng đá hoặc võ thuật.
-
Khám định kỳ: Tuân thủ lịch chụp MRI theo dõi để phát hiện sớm các thay đổi về kích thước.
-
Kiểm soát huyết áp: Duy trì huyết áp ổn định giúp giảm áp lực lên các mạch máu vùng màng não.
-
Giáo dục người thân: Chia sẻ tình trạng bệnh cho gia đình để họ biết cách xử trí khi có sự cố.
-
Lối sống khoa học: Ăn uống đủ chất, tránh căng thẳng để hệ thần kinh luôn trong trạng thái tốt nhất.
-
Cẩn trọng khi lao động: Sử dụng thiết bị bảo hộ đầy đủ khi làm việc trong môi trường dễ té ngã.
11. Câu hỏi thường gặp
11.1. U nang màng nhện có phải là ung thư não không?
Không, đây là khối nang lành tính chứa dịch, không phải là tế bào ung thư và không di căn.
11.2. Khối nang này có thể tự biến mất mà không cần mổ không?
Rất hiếm khi nang tự mất đi, nhưng phần lớn chúng sẽ tồn tại ổn định mà không gây hại.
11.3. Trẻ em bị u nang màng nhện có phát triển bình thường được không?
Nếu nang nhỏ và không chèn ép, trẻ hoàn toàn có thể phát triển thể chất và trí tuệ bình thường.
11.4. Phẫu thuật điều trị u nang màng nhện có nguy hiểm không?
Mọi phẫu thuật não đều có rủi ro, nhưng kỹ thuật nội soi hiện nay đã giúp giảm thiểu biến chứng đáng kể.
11.5. Người bệnh có cần kiêng khem gì trong ăn uống không?
Không có chế độ ăn kiêng đặc biệt cho bệnh này, hãy duy trì dinh dưỡng cân bằng là tốt nhất.
11.6. Tại sao u nang màng nhện thường được phát hiện tình cờ?
Vì nhiều nang không gây triệu chứng, người bệnh chỉ phát hiện khi đi khám vì đau đầu hoặc sau tai nạn.
11.7. Phụ nữ mang thai có u nang màng nhện cần lưu ý gì?
Cần thông báo cho bác sĩ sản khoa và thần kinh để có kế hoạch theo dõi áp lực nội sọ trong thai kỳ.
Kết luận
U nang màng nhện thường là một phát hiện tình cờ và không quá đáng sợ như tên gọi của nó. Phần lớn các nang này chung sống hòa bình với con người nếu được theo dõi y khoa đúng cách. Việc hiểu biết về các triệu chứng cảnh báo giúp chúng ta chủ động bảo vệ sức khỏe hệ thần kinh hiệu quả. Hãy luôn giữ tinh thần lạc quan và thảo luận kỹ với bác sĩ chuyên khoa về tình trạng cá nhân của mình.
Khuyến nghị
Nếu bạn tình cờ phát hiện u nang màng nhện, hãy thực hiện chụp MRI tại các cơ sở uy tín để có hình ảnh rõ nét nhất. Không nên quá lo lắng dẫn đến mất ngủ, vì tâm lý căng thẳng có thể làm trầm trọng thêm các cơn đau đầu. Hãy nhớ rằng việc điều trị chỉ thực sự cần thiết khi khối nang gây ra những ảnh hưởng rõ rệt đến chất lượng cuộc sống hoặc chức năng thần kinh.
Tài liệu tham khảo
-
National Institute of Neurological Disorders and Stroke (NINDS): Arachnoid Cysts Information.
-
Mayo Clinic: Brain cysts - Types, symptoms, and diagnosis.
-
Journal of Neurosurgery: Natural history and management of arachnoid cysts.
Số lần xem: 28




.webp)