Hình Ảnh Phổi Trắng Trên X-Quang: Cảnh Báo Bệnh Gì?
Hình ảnh X-quang ngực là công cụ chẩn đoán hình ảnh cơ bản và thiết yếu trong y học hô hấp. Thông thường, phổi khỏe mạnh, chứa đầy không khí, sẽ hiển thị màu đen hoặc xám sẫm trên phim. Khi các bác sĩ nhìn thấy hình ảnh Phổi Trắng trên X-quang, đó là một dấu hiệu cảnh báo nghiêm trọng, cho thấy có sự thay đổi bệnh lý đáng kể trong mô phổi.
Bài viết này sẽ giúp bạn hiểu rõ: Hình ảnh Phổi Trắng Cảnh Báo Bệnh Gì?, phân tích Nguyên nhân gây ra phổi trắng và trả lời các thắc mắc quan trọng về tiên lượng như Phổi trắng có nguy hiểm không và Phổi trắng có chữa được không.
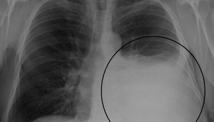
Hình ảnh phổi trắng trên X-quang
1. Hình Ảnh Phổi Trắng Trên X-Quang: Cơ Chế Và Ý Nghĩa
1.1. Phân Tích Cơ Chế Hình Thành Màu Trắng
X-quang hoạt động dựa trên nguyên tắc hấp thụ tia X:
-
Vùng Đen (Màu trong): Là vùng chứa không khí (phế nang), nơi tia X xuyên qua dễ dàng.
-
Vùng Trắng (Màu mờ đục): Là vùng chứa các vật chất đặc hơn không khí, hấp thụ tia X, bao gồm:
-
Dịch lỏng: Máu, dịch viêm, dịch phù.
-
Mô đặc: Tế bào viêm, tế bào ung thư, mô sẹo (xơ hóa).
-
Cấu trúc xương/kim loại (không liên quan đến mô phổi).
-
Hình ảnh Phổi Trắng cho thấy dịch hoặc mô đặc đã lấp đầy các phế nang hoặc mô kẽ phổi trên diện rộng, làm giảm nghiêm trọng khả năng trao đổi khí.
1.2. Các Mẫu Hình Ảnh Trắng Phổ Biến
Hình ảnh "Phổi Trắng" có thể biểu hiện dưới nhiều dạng, giúp định hướng chẩn đoán ban đầu:
| Mẫu Hình Ảnh | Mô Tả | Bệnh Lý Điển Hình |
| Đông Đặc Phân Thùy | Vùng mờ đục đậm đặc, giới hạn rõ theo ranh giới thùy phổi. | Viêm phổi do vi khuẩn (phế cầu). |
| Mờ Đục Lan Tỏa (Khuếch tán) | Các vùng trắng nhỏ li ti hoặc lan rộng khắp cả hai phổi (Bilateral White Lung). | Hội chứng Suy Hô Hấp Cấp (ARDS), Phù phổi cấp. |
| Mờ Mạng Lưới/Khuếch Tán | Hình ảnh các đường trắng (mô kẽ bị dày lên) tạo thành mạng lưới hoặc hình tổ ong. | Xơ hóa phổi, Viêm phổi mô kẽ. |
| Trắng Tuyến Tính | Một bên phổi hoàn toàn trắng. | Tràn dịch màng phổi lượng lớn, Xẹp phổi toàn bộ. |
Hiện tượng phổi trắng xảy ra khi không khí trong phổi bị giảm hoặc mất đi, được thay thế bởi dịch, máu, mủ, tế bào viêm hoặc mô xơ.
2. Phổi Trắng Cảnh Báo Bệnh Gì? Nguyên Nhân Bệnh Phổi Trắng
Nguyên nhân bệnh phổi trắng là đa dạng và thường liên quan đến các bệnh lý nguy hiểm cần được can thiệp khẩn cấp.
2.1. Bệnh Lý Gây Phù Phổi (Lấp Đầy Dịch)
Đây là các nguyên nhân phổ biến nhất gây ra hình ảnh Mờ đục Lan tỏa hai bên phổi (Bilateral White Lung):
-
Hội chứng Suy hô hấp Cấp (ARDS): Thường xảy ra sau các chấn thương nặng, nhiễm trùng huyết, viêm tụy cấp hoặc COVID-19 nặng. Dịch giàu Protein rò rỉ vào phế nang, làm phổi cứng lại và gây thiếu oxy máu trầm trọng.
-
Phù Phổi Cấp do Tim (Cardiogenic Edema): Do suy tim trái nghiêm trọng, áp lực mao mạch phổi tăng cao, đẩy dịch huyết tương vào phế nang.
-
Chảy Máu Phổi Lan Tỏa: Xuất huyết từ các mao mạch phổi lấp đầy phế nang. Gặp trong các bệnh lý tự miễn như Lupus, Hội chứng Goodpasture.
2.2. Bệnh Lý Gây Đông Đặc (Lấp Đầy Tế Bào và Vi Khuẩn)
-
Viêm Phổi Nặng (Severe Pneumonia): Gây ra bởi vi khuẩn (Phế cầu, Klebsiella) hoặc virus (Cúm, COVID-19). Phế nang bị lấp đầy bởi tế bào bạch cầu, vi khuẩn và dịch viêm.
-
Lao Phổi Lan Rộng (Lao Kê): Vi khuẩn lao lan tràn theo đường máu tạo thành vô số nốt lao nhỏ lan tỏa khắp hai phổi, gây ra hình ảnh mờ đục dạng hạt.
2.3. Bệnh Lý Gây Xơ Hóa (Lấp Đầy Mô Sẹo)
-
Xơ Hóa Phổi Vô Căn (Idiopathic Pulmonary Fibrosis - IPF): Mô phổi bình thường bị thay thế dần bằng mô sẹo dày và cứng.
-
Các Bệnh Phổi Mô Kẽ (ILD): Bao gồm viêm phổi quá mẫn, xơ hóa do bụi nghề nghiệp (Asbestosis, Silicosis).
Phổi trắng có thể là dấu hiệu cảnh báo bệnh nguy hiểm
3. Phân Tích Mức Độ Nguy Hiểm và Tiên Lượng Sống
Các câu hỏi về tiên lượng luôn là mối quan tâm hàng đầu của bệnh nhân và gia đình.
3.1. Phổi Trắng Có Nguy Hiểm Không?
Phổi trắng có nguy hiểm không? CÓ, RẤT NGUY HIỂM.
Hình ảnh này là dấu hiệu của việc giảm sút nghiêm trọng chức năng hô hấp. Hầu hết các bệnh lý gây ra phổi trắng đều dẫn đến Suy Hô Hấp Cấp, đe dọa trực tiếp tính mạng nếu không được can thiệp bằng liệu pháp oxy cường độ cao hoặc thở máy.
Bệnh phổi trắng có chết không? Tiên lượng tử vong phụ thuộc vào nguyên nhân:
-
ARDS: Tỷ lệ tử vong có thể lên đến 30% - 50%.
-
Lao Kê: Nếu không điều trị kịp thời, tỷ lệ tử vong rất cao.
-
Xơ Hóa Phổi Vô Căn: Bệnh diễn tiến mãn tính và không thể chữa khỏi, thời gian sống trung bình sau chẩn đoán thường là 3-5 năm (tùy thuộc vào giai đoạn bệnh).
3.2. Phổi Trắng Có Chữa Được Không?
Phổi trắng có chữa được không? Hoàn toàn có thể, tùy thuộc vào nguyên nhân:
-
Có thể hồi phục hoàn toàn: Nếu nguyên nhân là Viêm Phổi cấp tính (do vi khuẩn, đáp ứng kháng sinh tốt), Phù Phổi cấp (do suy tim, đáp ứng lợi tiểu) hoặc một số thể ARDS nhẹ.
-
Không thể đảo ngược: Nếu nguyên nhân là Xơ Hóa Phổi Vô Căn hoặc bệnh bụi phổi nặng, tổn thương là mô sẹo vĩnh viễn và không thể chữa khỏi. Điều trị lúc này nhằm làm chậm tiến triển bệnh và cải thiện chất lượng sống.
Bệnh phổi trắng sống được bao lâu?
-
Nguyên nhân cấp tính: Nếu điều trị thành công, tuổi thọ có thể trở lại bình thường.
-
Nguyên nhân mãn tính/Xơ hóa: Thời gian sống phụ thuộc vào tốc độ tiến triển của bệnh và hiệu quả của các liệu pháp chống xơ hóa.
3.3. Phổi Trắng Có Lây Không?
Phổi trắng có lây không? Bản thân hình ảnh màu trắng không lây, nhưng tác nhân gây bệnh thì có thể.
-
Có lây: Khi nguyên nhân là các bệnh truyền nhiễm như Lao Phổi, Viêm Phổi do Mycoplasma hoặc Viêm Phổi do Virus (như Cúm, COVID-19).
-
Không lây: Khi nguyên nhân là các bệnh lý không nhiễm trùng như Suy tim, Tác dụng phụ của thuốc, Xơ hóa do bụi Amiăng, hoặc bệnh tự miễn.

Mức độ nguy hiểm và tiên lượng sống phụ thuộc vào tác nhân gây bệnh
4. Dấu Hiệu Bệnh Phổi Trắng Ở Người Lớn
Vì hầu hết các nguyên nhân gây phổi trắng là tình trạng cấp tính, việc nhận biết các Dấu hiệu bệnh phổi trắng ở người lớn là cực kỳ quan trọng để can thiệp kịp thời.
4.1. Triệu Chứng Điển Hình Của Suy Hô Hấp
-
Khó thở tiến triển nhanh (Dyspnea): Khó thở xuất hiện đột ngột hoặc trở nên trầm trọng hơn chỉ trong vài giờ.
-
Thở nhanh và nông: Tần số thở tăng trên 20 lần/phút.
-
Tím tái (Cyanosis): Môi, đầu ngón tay, và niêm mạc chuyển màu xanh do thiếu oxy. Đây là Dấu hiệu phổi trắng nghiêm trọng nhất trên cơ thể.
-
Ho và Đờm: Có thể có ho ra máu hoặc đờm bọt màu hồng (gợi ý Phù phổi cấp).
4.2. Triệu Chứng Kết Hợp Theo Nguyên Nhân
-
Nhiễm trùng: Sốt cao, ớn lạnh, đau ngực.
-
Suy tim: Phù chân, khó thở khi nằm, tiền sử bệnh tim mạch.
-
Mãn tính/Xơ hóa: Khó thở tăng dần theo thời gian (vài tháng/năm), tiếng ho khô, rắc rắc (tiếng rale nổ) khi khám phổi.
5. Phương Pháp Chẩn Đoán và Quản Lý
Chẩn đoán chính xác là chìa khóa để điều trị hiệu quả.
5.1. Ngoài X-Quang: Công Cụ Chẩn Đoán Chuyên Sâu
-
Chụp CT ngực (HRCT): Cung cấp hình ảnh chi tiết và phân giải cao hơn X-quang, giúp phân biệt giữa đông đặc, phù nề, xơ hóa và các mẫu hình khác.
-
Xét nghiệm máu: Kiểm tra chỉ điểm viêm (CRP, Procalcitonin), chức năng tim (BNP), và khí máu động mạch (đo nồng độ Oxy và pH máu).
-
Nội soi phế quản và Rửa phế quản phế nang (BAL): Lấy mẫu dịch trong phổi để xác định tác nhân gây bệnh (vi khuẩn, virus, nấm) hoặc tìm kiếm tế bào ung thư, tế bào miễn dịch.
5.2. Nguyên Tắc Điều Trị Cốt Lõi
Điều trị tập trung vào việc hỗ trợ hô hấp và loại bỏ nguyên nhân:
-
Hỗ trợ Oxy và Thở máy: Đặt nội khí quản và thở máy xâm lấn là biện pháp cứu sống bắt buộc đối với bệnh nhân ARDS hoặc suy hô hấp nặng.
-
Điều trị Viêm/Nhiễm trùng: Kháng sinh, kháng virus, hoặc kháng nấm chuyên biệt.
-
Kiểm soát Dịch: Lợi tiểu để loại bỏ dịch phù phổi do tim.
-
Kiểm soát Miễn dịch: Corticosteroid và các thuốc ức chế miễn dịch cho các bệnh lý tự miễn.
Kết Luận
Hình ảnh Phổi Trắng trên X-quang là một dấu hiệu lâm sàng mạnh mẽ, yêu cầu bác sĩ phải hành động nhanh chóng. Việc giải mã hình ảnh này, kết hợp với các dấu hiệu lâm sàng như khó thở cấp và tím tái), là bước đầu tiên để cứu sống bệnh nhân.
Mặc dù tình trạng này luôn đi kèm với mức độ nguy hiểm cao, tiến bộ y học hiện đại vẫn mang lại cơ hội hồi phục hoàn toàn nếu nguyên nhân bệnh phổi trắng được xác định và điều trị triệt để, đặc biệt là trong các trường hợp viêm nhiễm hoặc phù phổi cấp tính.
Số lần xem: 190







