Bóc Tách Động Mạch Chủ: Nguyên Nhân, Triệu Chứng Và Cách Điều Trị Hiệu Quả
Bóc tách động mạch chủ là một trong những tình trạng cấp cứu tim mạch nguy hiểm nhất, có thể đe dọa tính mạng chỉ trong vài phút nếu không được phát hiện và xử trí kịp thời. Bệnh xảy ra khi lớp thành trong của động mạch chủ – mạch máu lớn nhất cơ thể – bị rách, khiến máu chảy vào giữa các lớp thành mạch và làm tách rời chúng ra.
Triệu chứng bóc tách động mạch chủ thường xuất hiện đột ngột, dễ bị nhầm với nhồi máu cơ tim do cùng biểu hiện đau ngực dữ dội. Tuy nhiên, cơ chế và hướng điều trị của hai bệnh này hoàn toàn khác nhau, vì vậy việc nhận biết sớm dấu hiệu cảnh báo đóng vai trò vô cùng quan trọng.
Bài viết dưới đây sẽ giúp bạn hiểu rõ bóc tách động mạch chủ là gì, nguyên nhân, triệu chứng điển hình, cũng như phương pháp điều trị và phòng ngừa hiệu quả, nhằm bảo vệ sức khỏe tim mạch một cách toàn diện nhất.
.webp)
Tìm hiểu bóc tách động mạch chủ là gì?
1. Bóc tách động mạch chủ là gì?
Bóc tách động mạch chủ (Aortic Dissection) là một tình trạng cấp cứu nghiêm trọng trong tim mạch, xảy ra khi lớp trong của thành động mạch chủ – mạch máu lớn nhất trong cơ thể – bị rách. Máu từ lòng động mạch chảy vào giữa các lớp thành mạch, tạo thành một “kênh giả” (false lumen) và làm tách rời các lớp của thành mạch.
Hậu quả là dòng máu bị rối loạn, gây giảm tưới máu đến các cơ quan quan trọng như tim, não, thận, ruột… Nếu không được phát hiện và điều trị kịp thời, bóc tách động mạch chủ có thể dẫn đến vỡ mạch và tử vong nhanh chóng.
Phân loại bóc tách động mạch chủ:
Theo hệ thống Stanford, bệnh được chia thành 2 loại chính:
-
Loại A: Tổn thương bắt đầu ở đoạn động mạch chủ lên (gần tim). Đây là thể nguy hiểm nhất, cần phẫu thuật khẩn cấp.
-
Loại B: Tổn thương xảy ra ở đoạn động mạch chủ xuống, thường được điều trị nội khoa hoặc can thiệp nếu có biến chứng.
2. Nguyên nhân gây bóc tách động mạch chủ
Bóc tách động mạch chủ thường do tổn thương hoặc yếu đi của thành mạch máu, khiến lớp nội mạc dễ bị rách. Một số nguyên nhân và yếu tố nguy cơ thường gặp gồm:
2.1. Tăng huyết áp mạn tính
Đây là nguyên nhân phổ biến nhất, chiếm hơn 70% trường hợp. Huyết áp cao lâu ngày làm tăng áp lực lên thành động mạch, khiến lớp nội mạc bị tổn thương và dễ tách ra.
2.2. Bệnh lý mô liên kết bẩm sinh
Một số hội chứng di truyền ảnh hưởng đến độ đàn hồi của mạch máu như:
-
Hội chứng Ehlers-Danlos
-
Loạn sản xơ cơ (Fibromuscular dysplasia)
Những bệnh này khiến thành mạch mỏng yếu, dễ rách khi chịu áp lực máu lớn.
2.3. Xơ vữa động mạch
Các mảng xơ vữa làm thành mạch cứng, kém đàn hồi và dễ tổn thương khi áp lực máu thay đổi đột ngột.
2.4. Can thiệp hoặc chấn thương
-
Chấn thương ngực mạnh (tai nạn giao thông, ngã cao…).
-
Thủ thuật can thiệp tim mạch (đặt stent, phẫu thuật tim…).
-
Sử dụng dụng cụ nội mạch có thể gây tổn thương cơ học lên thành động mạch chủ.
2.5. Nguyên nhân khác
-
Mang thai (do thay đổi nội tiết và tăng thể tích tuần hoàn).
-
Sử dụng chất kích thích như cocaine hoặc amphetamin.
-
Viêm mạch máu, nhiễm trùng mạch.

Huyết áp cao là nguyên nhân phổ biến nhất gây ra bóc tách động mạch chủ
3. Triệu chứng của bóc tách động mạch chủ
Triệu chứng có thể khởi phát đột ngột và rất giống với nhồi máu cơ tim, khiến nhiều trường hợp bị chẩn đoán nhầm.
3.1. Đau ngực dữ dội
-
Là dấu hiệu điển hình nhất (hơn 90% ca).
-
Cảm giác đau xé, đau rát, đau lan ra sau lưng hoặc bụng, không giảm khi nghỉ ngơi.
-
Đôi khi đau lan lên cổ, hàm hoặc xuống chân tùy vị trí bóc tách.
3.2. Triệu chứng toàn thân
-
Vã mồ hôi lạnh, chóng mặt, ngất xỉu.
-
Huyết áp tụt nhanh, mạch yếu hoặc mất ở một bên tay.
-
Da xanh xao, khó thở, cảm giác sợ hãi dữ dội.
3.3. Biểu hiện theo vị trí tổn thương
-
Bóc tách đoạn gần tim (loại A): có thể gây đau ngực trước, tràn dịch màng tim, hở van động mạch chủ.
-
Bóc tách đoạn xa (loại B): thường gây đau lưng, đau bụng, thiếu máu chi dưới.
Nếu bóc tách lan rộng, có thể dẫn đến đột quỵ, suy thận cấp, nhồi máu cơ tim hoặc vỡ động mạch chủ – tình trạng đe dọa tính mạng.
4. Chẩn đoán bóc tách động mạch chủ
Do triệu chứng có thể nhầm lẫn với nhồi máu cơ tim hoặc đau ngực khác, việc chẩn đoán nhanh và chính xác là yếu tố sống còn.
4.1. Khám lâm sàng
-
Huyết áp 2 tay chênh lệch > 20 mmHg.
-
Tiếng thổi tâm trương (hở van động mạch chủ).
-
Dấu hiệu tưới máu kém ở chi, thận hoặc não.
4.2. Cận lâm sàng
-
Điện tâm đồ (ECG): loại trừ nhồi máu cơ tim.
-
Siêu âm tim qua thành ngực hoặc thực quản (TEE): phát hiện tách lớp thành mạch.
-
Chụp cắt lớp vi tính (CT-angiography): tiêu chuẩn vàng, cho hình ảnh rõ vị trí và mức độ bóc tách.
-
Chụp MRI mạch máu: dùng trong trường hợp cần đánh giá chi tiết mà CT không rõ.

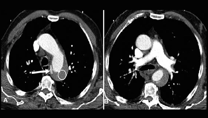
Ảnh CT có tiêm thuốc cản quang cho thấy cục máu đông trong lòng giả ở bệnh nhân bóc tách động mạch chủ.
5. Cách điều trị bóc tách động mạch chủ
Điều trị phụ thuộc vào vị trí bóc tách (loại A hay B), mức độ lan rộng, và biến chứng kèm theo.
5.1. Nguyên tắc chung
-
Kiểm soát huyết áp chặt chẽ: dùng thuốc hạ huyết áp nhanh như beta-blocker, nitroprusside…
-
Giảm nhịp tim và giảm lực co bóp: giúp giảm áp lực lên thành mạch.
-
Giảm đau tích cực: dùng morphin hoặc thuốc giảm đau mạnh khác.
5.2. Điều trị phẫu thuật (chủ yếu cho loại A)
-
Thay đoạn động mạch bị tách bằng mạch nhân tạo.
-
Sửa hoặc thay van động mạch chủ nếu bị tổn thương.
Phẫu thuật cần tiến hành khẩn cấp để ngăn vỡ động mạch chủ và giảm nguy cơ tử vong.
5.3. Điều trị nội khoa (chủ yếu cho loại B ổn định)
-
Dùng thuốc kiểm soát huyết áp và nhịp tim.
-
Theo dõi sát bằng siêu âm hoặc CT định kỳ.
-
Chỉ can thiệp (đặt stent graft) khi có biến chứng như: vỡ, thiếu máu tạng, phình to nhanh.
5.4. Theo dõi sau điều trị
-
Duy trì huyết áp mục tiêu <120/80 mmHg.
-
Tái khám định kỳ 3–6 tháng/lần.
-
Hạn chế gắng sức, tránh nâng vật nặng hoặc xúc động mạnh.
-
Tuân thủ tuyệt đối phác đồ thuốc của bác sĩ.
6. Tiên lượng và biến chứng
Bóc tách động mạch chủ có tỷ lệ tử vong rất cao nếu không được điều trị kịp thời.
-
Với loại A, 1/2 bệnh nhân có thể tử vong trong 48 giờ đầu nếu không phẫu thuật.
-
Với loại B, tiên lượng tốt hơn nhưng vẫn có nguy cơ cao nếu không kiểm soát huyết áp.
Biến chứng thường gặp gồm:
-
Vỡ động mạch chủ
-
Thiếu máu cơ tim, đột quỵ
-
Tắc mạch chi dưới hoặc tạng
Phát hiện sớm, can thiệp kịp thời và kiểm soát tốt huyết áp là yếu tố then chốt để kéo dài tuổi thọ.

Bóc tách động mạch chủ có tỷ lệ tử vong rất cao
7. Phòng ngừa bóc tách động mạch chủ
Không thể ngăn ngừa hoàn toàn, nhưng có thể giảm nguy cơ bằng các biện pháp sau:
7.1. Kiểm soát huyết áp
-
Duy trì huyết áp ổn định.
-
Dùng thuốc đều đặn theo hướng dẫn của bác sĩ.
-
Theo dõi huyết áp tại nhà thường xuyên.
7.2. Lối sống lành mạnh
-
Hạn chế muối, chất béo bão hòa và rượu bia.
-
Tăng cường rau xanh, trái cây, cá và ngũ cốc nguyên hạt.
-
Không hút thuốc lá.
-
Duy trì cân nặng hợp lý.
7.3. Khám tim mạch định kỳ
Đặc biệt ở người:
-
Trên 50 tuổi có tăng huyết áp.
-
Có tiền sử bệnh tim mạch trong gia đình.
-
Mắc bệnh mô liên kết di truyền.
8. Câu hỏi thường gặp
8.1. Bóc tách động mạch chủ có thể phòng ngừa hoàn toàn được không?
Không thể phòng ngừa tuyệt đối, nhưng nguy cơ mắc bệnh có thể giảm đáng kể nếu kiểm soát tốt huyết áp, tránh stress kéo dài, duy trì cân nặng hợp lý và không hút thuốc lá. Người có tiền sử gia đình mắc bệnh tim mạch nên khám tim định kỳ để phát hiện sớm bất thường ở động mạch chủ.
8.2. Người từng bị bóc tách động mạch chủ có thể mang thai không?
Phụ nữ từng bị bóc tách động mạch chủ vẫn có thể mang thai, nhưng cần được bác sĩ tim mạch và sản khoa theo dõi sát sao. Thai kỳ làm tăng áp lực tuần hoàn, có thể khiến thành mạch yếu dễ bị tái bóc tách, đặc biệt ở người có bệnh lý mô liên kết như Marfan.
8.3. Sau khi phẫu thuật bóc tách động mạch chủ, người bệnh cần theo dõi bao lâu?
Người bệnh cần được theo dõi suốt đời. Sau phẫu thuật, nên tái khám định kỳ mỗi 3–6 tháng trong năm đầu tiên và mỗi năm 1–2 lần sau đó. Bác sĩ sẽ kiểm tra huyết áp, chụp CT hoặc siêu âm tim để theo dõi đoạn mạch nhân tạo và phát hiện sớm biến chứng.
8.4. Bóc tách động mạch chủ có tái phát không?
Có. Mặc dù phẫu thuật hoặc đặt stent có thể khắc phục đoạn mạch bị tổn thương, nhưng phần còn lại của động mạch chủ vẫn có thể yếu và bị tách lại nếu huyết áp không được kiểm soát tốt. Do đó, người bệnh cần duy trì thuốc hạ áp đều đặn và tránh gắng sức quá mức.
8.5. Người bị bóc tách động mạch chủ nên ăn uống thế nào để hỗ trợ điều trị?
Nên ưu tiên chế độ ăn ít muối, ít chất béo bão hòa, tăng cường rau xanh, cá biển, ngũ cốc nguyên hạt và trái cây tươi. Hạn chế thực phẩm chế biến sẵn, rượu bia, cà phê đặc và nước tăng lực. Duy trì cân nặng ổn định và ăn đúng giờ giúp kiểm soát huyết áp tốt hơn.
Kết luận
Bóc tách động mạch chủ là tình trạng y khoa khẩn cấp, có thể cướp đi tính mạng chỉ trong vài giờ nếu không được xử trí kịp thời. Việc phát hiện sớm, kiểm soát huyết áp tốt và tái khám định kỳ đóng vai trò sống còn giúp người bệnh duy trì cuộc sống ổn định và hạn chế biến chứng.
Nếu bạn hoặc người thân đột ngột đau ngực dữ dội lan ra sau lưng, hãy đến bệnh viện ngay – vì đó có thể là dấu hiệu cảnh báo của bóc tách động mạch chủ.
Số lần xem: 118




