Viêm Đa Cơ: Nguyên Nhân, Triệu Chứng Và Cách Điều Trị
- 1. Tổng quan về bệnh viêm đa cơ
- 2. Nguyên nhân gây bệnh viêm đa cơ
- 3. Triệu chứng điển hình của viêm đa cơ
- 4. Phân loại và các bệnh lý liên quan
- 5. Biến chứng nguy hiểm của viêm đa cơ
- 6. Khi nào bạn cần đi khám bác sĩ ngay?
- 7. Phương pháp chẩn đoán và điều trị viêm đa cơ
- 8. Cách phòng ngừa và chung sống với bệnh
- 9. Khuyến nghị
- 10. Kết luận
- 11. Câu hỏi thường gặp
- Tài liệu tham khảo
Viêm đa cơ (Polymyositis) là một bệnh lý cơ tự miễn hiếm gặp, đặc trưng bởi tình trạng viêm mạn tính và yếu các nhóm cơ xương đối xứng hai bên cơ thể. Khác với những cơn đau mỏi cơ thông thường sau khi vận động, yếu cơ trong viêm đa cơ diễn tiến âm thầm nhưng để lại hậu quả nặng nề, khiến người bệnh gặp khó khăn ngay cả trong những sinh hoạt cơ bản nhất như chải đầu, leo cầu thang hay đứng dậy từ ghế.
Do tính chất phức tạp và dễ nhầm lẫn với các bệnh lý thần kinh - cơ khác, việc chẩn đoán sớm và điều trị đúng hướng có ý nghĩa quyết định trong việc ngăn ngừa teo cơ và biến chứng nội tạng.
Bài viết dưới đây sẽ cung cấp cho bạn cái nhìn tổng quan về căn bệnh này, từ cơ chế gây bệnh, hệ thống triệu chứng điển hình cho đến những cập nhật mới nhất trong phương pháp điều trị ức chế miễn dịch, giúp bạn chủ động quản lý sức khỏe và duy trì chất lượng cuộc sống bền vững.
Viêm đa cơ là gì? Viêm đa cơ là bệnh lý viêm cơ tự miễn gây yếu cơ đối xứng, chủ yếu ở các nhóm cơ gần thân như vai, hông và đùi. Bệnh xảy ra khi hệ miễn dịch tấn công nhầm các sợi cơ khỏe mạnh, dẫn đến viêm, thoái hóa và yếu dần theo thời gian.
Tìm hiểu về viêm đa cơ
1. Tổng quan về bệnh viêm đa cơ
Viêm đa cơ thuộc nhóm bệnh cơ viêm vô căn (IIM). Đây là tình trạng hệ thống phòng thủ của cơ thể (hệ miễn dịch) bị rối loạn, thay vì tiêu diệt vi khuẩn, virus, nó lại quay sang tấn công các tế bào cơ của chính mình.
Bệnh thường khởi phát ở người trưởng thành, phổ biến nhất trong độ tuổi từ 30 đến 50. Phụ nữ có tỷ lệ mắc bệnh cao gấp đôi nam giới. Mặc dù không có cách chữa khỏi hoàn toàn, nhưng với sự tiến bộ của y học hiện đại, đa số bệnh nhân có thể cải thiện sức mạnh cơ bắp đáng kể nếu được phát hiện ở giai đoạn sớm.
2. Nguyên nhân gây bệnh viêm đa cơ
Cho đến nay, y học vẫn chưa xác định được nguyên nhân chính xác gây ra viêm đa cơ. Tuy nhiên, các chuyên gia tin rằng bệnh là kết quả của sự tương tác phức tạp giữa các yếu tố:
-
Yếu tố di truyền: Một số gen nhất định có thể khiến một cá nhân dễ nhạy cảm hơn với các tác nhân gây bệnh tự miễn.
-
Tác nhân môi trường: Nhiễm trùng do virus (như Coxsackie, HIV, HTLV-1) hoặc tiếp xúc với một số loại thuốc, độc chất có thể là "ngòi nổ" kích hoạt phản ứng viêm.
-
Rối loạn miễn dịch: Sự xuất hiện của các tự kháng thể tấn công các kháng nguyên trong tế bào cơ là đặc điểm bệnh lý then chốt.
-
Bệnh lý đi kèm: Viêm đa cơ thường xuất hiện cùng các bệnh tự miễn khác như lupus ban đỏ hệ thống, viêm khớp dạng thấp hoặc xơ cứng bì (hội chứng chồng lấp).
Lupus ban đỏ có thể gây tổn thương cơ, dẫn đến tình trạng viêm cơ và yếu cơ.
3. Triệu chứng điển hình của viêm đa cơ
Triệu chứng của viêm đa cơ thường tiến triển từ từ trong vài tuần hoặc vài tháng. Các dấu hiệu bao gồm:
3.1. Yếu cơ đối xứng
Đây là dấu hiệu quan trọng nhất. Yếu cơ xảy ra ở cả hai bên cơ thể và tập trung vào các nhóm cơ gần gốc chi:
-
Cơ hông và đùi: Gây khó khăn khi đứng dậy, leo cầu thang hoặc bước lên vỉa hè.
-
Cơ vai và cánh tay: Khó khăn khi nâng vật nặng quá đầu, chải đầu hoặc mặc áo chui đầu.
-
Cơ cổ: Khó giữ đầu thẳng khi nằm hoặc ngồi lâu.
3.2. Các triệu chứng hệ thống khác
-
Khó nuốt (Dysphagia): Do viêm các cơ thực quản, dẫn đến sặc thức ăn hoặc suy dinh dưỡng.
-
Khó thở: Xảy ra khi bệnh tấn công cơ hoành hoặc gây bệnh phổi kẽ.
-
Đau khớp và mệt mỏi: Cảm giác kiệt sức kéo dài ngay cả khi không vận động mạnh.
4. Phân loại và các bệnh lý liên quan
Để điều trị hiệu quả, bác sĩ cần phân biệt rõ viêm đa cơ với các thể bệnh tương đương:
-
Viêm đa cơ thuần túy: Chỉ tổn thương các sợi cơ, không có tổn thương da.
-
Viêm cơ da (Dermatomyositis): Có đầy đủ triệu chứng của viêm đa cơ kèm theo phát ban màu tím ở mí mắt (Heliotrope rash) hoặc các nốt sần ở khớp ngón tay (Gottron papules).
-
Viêm cơ thể bao (Inclusion Body Myositis): Thường gặp ở người già, yếu cả các cơ xa gốc chi (như ngón tay) và không đáp ứng tốt với thuốc ức chế miễn dịch thông thường.
-
Hội chứng chồng lấp: Viêm đa cơ xuất hiện cùng lúc với các bệnh mô liên kết khác.
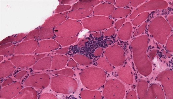
Hình ảnh sinh thiết cơ trong viêm đa cơ cho thấy thâm nhiễm tế bào viêm
5. Biến chứng nguy hiểm của viêm đa cơ
Nếu không được kiểm soát tốt, viêm đa cơ có thể dẫn đến những hệ lụy nghiêm trọng:
-
Bệnh phổi kẽ: Khoảng 30% bệnh nhân gặp tình trạng sẹo hóa nhu mô phổi, gây suy hô hấp mãn tính.
-
Tổn thương tim: Viêm cơ tim, loạn nhịp tim hoặc suy tim xung huyết.
-
Ác tính (Ung thư): Bệnh nhân viêm đa cơ có nguy cơ mắc các loại ung thư (phổi, bàng quang, vú, đại tràng) cao hơn người bình thường, đặc biệt là ở nhóm người cao tuổi.
-
Hút sặc: Do yếu cơ hầu họng, thức ăn dễ đi vào phổi gây viêm phổi cấp tính.
6. Khi nào bạn cần đi khám bác sĩ ngay?
Đừng chủ quan nếu bạn nhận thấy sức mạnh cơ bắp sụt giảm không rõ lý do. Hãy tìm kiếm sự tư vấn y khoa nếu:
-
Bạn cảm thấy chân yếu đột ngột, dễ ngã khi đi lại.
-
Gặp khó khăn khi nuốt hoặc thường xuyên bị sặc khi uống nước.
-
Cảm giác hụt hơi, khó thở khi làm việc nhẹ.
-
Đau cơ kéo dài kèm theo sốt nhẹ không rõ nguyên nhân.
Hãy đến khám bác sĩ khi cần thiết
7. Phương pháp chẩn đoán và điều trị viêm đa cơ
7.1. Chẩn đoán chuyên sâu
Để xác định viêm đa cơ, các bác sĩ chuyên khoa thường chỉ định:
-
Xét nghiệm men cơ (CK, LDH): Nồng độ Creatine Kinase tăng cao trong máu là dấu hiệu tế bào cơ đang bị hủy hoại.
-
Xét nghiệm tự kháng thể: Tìm các kháng thể đặc hiệu như Jo-1, Mi-2.
-
Điện cơ đồ (EMG): Đo hoạt động điện của cơ để phân biệt bệnh cơ và bệnh thần kinh.
-
Sinh thiết cơ: Đây là tiêu chuẩn vàng để xác nhận tình trạng viêm và thâm nhiễm tế bào miễn dịch.
7.2. Phác đồ điều trị phổ biến
Hiện nay, mục tiêu điều trị là kiểm soát viêm và phục hồi chức năng vận động:
-
Corticosteroids: (như Prednisone) Là lựa chọn đầu tay để giảm viêm nhanh chóng.
-
Thuốc ức chế miễn dịch (DMARDS): Methotrexate hoặc Azathioprine được sử dụng để duy trì hiệu quả và giảm liều Steroid, tránh tác dụng phụ.
-
Liệu pháp sinh học: Rituximab được chỉ định cho các trường hợp kháng thuốc thông thường.
-
Globulin miễn dịch đường tĩnh mạch (IVIG): Sử dụng các kháng thể khỏe mạnh để trung hòa các tự kháng thể gây bệnh.
8. Cách phòng ngừa và chung sống với bệnh
Vì là bệnh tự miễn, không có cách phòng ngừa tuyệt đối. Tuy nhiên, bạn có thể hạn chế bùng phát và biến chứng bằng cách:
-
Vật lý trị liệu: Các bài tập phục hồi chức năng giúp duy trì sự linh hoạt của khớp và ngăn ngừa teo cơ. Tuy nhiên, cần tập luyện theo chỉ dẫn của chuyên gia để tránh làm tổn thương thêm các sợi cơ đang viêm.
-
Chế độ dinh dưỡng: Tăng cường Protein chất lượng cao để tái tạo cơ, bổ sung Canxi và Vitamin D để phòng ngừa loãng xương do dùng Corticoid kéo dài.
-
Tránh nhiễm trùng: Tiêm phòng cúm và phế cầu khuẩn định kỳ vì hệ miễn dịch của bạn đang bị ức chế bởi thuốc điều trị.
Tiêm phòng cúm giúp giảm nguy cơ nhiễm virus – một yếu tố có thể kích hoạt bệnh tự miễn ở người có cơ địa nhạy cảm.
9. Khuyến nghị
Để đạt hiệu quả điều trị tốt nhất hãy thực hiện:
Tuân thủ phác đồ: Tuyệt đối không tự ý bỏ thuốc Corticoid đột ngột vì có thể gây suy tuyến thượng thận cấp.
Theo dõi phổi định kỳ: Hãy thực hiện đo chức năng hô hấp 6 tháng/lần để tầm soát bệnh phổi kẽ - biến chứng thầm lặng nhất của viêm đa cơ.
Duy trì tinh thần lạc quan: Bệnh tự miễn chịu ảnh hưởng lớn từ Stress. Một tâm lý ổn định sẽ giúp hệ miễn dịch ít "nổi loạn" hơn.
10. Kết luận
Viêm đa cơ là một thách thức lớn đối với sức khỏe, nhưng với sự phối hợp chặt chẽ giữa bác sĩ chuyên khoa cơ xương khớp và sự kiên trì của người bệnh, việc duy trì một cuộc sống vận động bình thường là hoàn toàn có thể. Hãy lắng nghe cơ thể từ những dấu hiệu nhỏ nhất để được can thiệp kịp thời.
11. Câu hỏi thường gặp
11.1. Viêm đa cơ có di truyền cho con cái không?
Có yếu tố di truyền nhưng không phải là bệnh di truyền trực tiếp. Con cái của người bệnh có nguy cơ mắc các bệnh tự miễn nói chung cao hơn một chút nhưng không chắc chắn sẽ bị viêm đa cơ.
11.2. Ăn gì để giảm viêm cơ?
Bạn nên áp dụng chế độ ăn Địa Trung Hải giàu Omega-3 (cá béo, hạt lanh), chất chống oxy hóa từ trái cây mọng và hạn chế đồ ngọt, thực phẩm chế biến sẵn gây viêm.
11.3. Dùng thuốc ức chế miễn dịch lâu dài có nguy hiểm không?
Có tác dụng phụ (như tăng nguy cơ nhiễm trùng, ảnh hưởng gan thận). Tuy nhiên, bác sĩ sẽ thực hiện xét nghiệm máu định kỳ để điều chỉnh liều lượng an toàn nhất.
11.4.Tập thể dục khi đang viêm cơ có tốt không?
Trong giai đoạn viêm cấp, nên nghỉ ngơi. Khi giai đoạn viêm ổn định, các bài tập nhẹ nhàng là bắt buộc để tránh cứng khớp và teo cơ.
11.5. Viêm đa cơ có gây ung thư không?
Bản thân nó không phải ung thư, nhưng nó được xem là một hội chứng cận ung thư ở một số ít bệnh nhân (đặc biệt là người già). Việc tầm soát ung thư định kỳ là cần thiết.
Tài liệu tham khảo
-
The Myositis Association (USA): Polymyositis Overview and Patient Support.
-
Mayo Clinic: Polymyositis - Diagnosis & Treatment Guidelines (2025).
-
The Lancet: Idiopathic inflammatory myopathies - A clinical review.
Số lần xem: 5









